精湛医术
山东省立医院创伤骨科——骨搬移技术治疗骨髓炎、骨缺损
骨搬移,听起来是不是不明觉厉?其实,这是一项借助骨外固定器安装在患肢上实施矫正治疗的牵拉成骨技术,也是当今世界最先进的骨科矫形技术。这种技术对于治疗骨髓炎、骨缺损,效果非常棒,创伤骨科治愈的500多例患者就是最好的证明~话不多说,现在就带你了解这项技术!
骨搬移(Bone Transport)技术,也译为骨搬运,即牵拉组织再生(distraction histogenesis)技术,通过Ilizarov骨外固定器安装在患肢上实施矫正治疗的一项牵拉成骨技术,也是当今世界最先进的骨科矫形技术。创伤骨科通过骨搬运技术治疗骨髓炎、骨缺损患者,取得了良好的效果,至今已经治愈500余例。
随着我国交通迅速发展,交通事故逐年增多,且创伤呈高能、多发、复杂的特点。高能量创伤导致的复杂骨折、骨折合并感染、骨折后治疗不当等都可能导致出现创伤后骨缺损。导致创伤后骨缺损的主要原因有:1.创伤导致骨丢失;2.创伤后手术清创导致骨丢失;3.骨折后感染,为控制感染不得已进行彻底清创所致骨丢失。目前,骨髓炎、骨缺损是骨科医师需要面对的一个难题。主要体现在感染控制、软组织修复及骨缺损重建困难。骨搬移技术通过外固定器对损伤或骨缺损的肢体提供支持,完成矫形、撑开或压缩,然后截断骨缺损或骨不连上下端的一段活骨,利用可移动的外固定装置将有活性的一段骨块,按照既定的方向、合适的速度与频率移动,搬到预期的部位,移动骨块逐渐与对应骨的残端靠拢,在外固定器维持下最终使骨缺损修复,骨不连愈合。
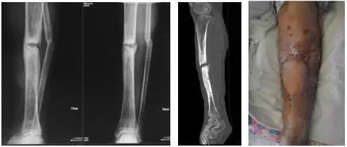
典型病例
李某某,34岁男性。左胫骨骨折术后慢性骨髓炎13年。患者13年前因“胫腓骨骨折”于当地医院手术治疗,术后胫腓骨骨折处感染。随后多次手术清创并皮瓣覆盖创面、植骨、外固定架固定术等治疗,骨折仍未愈,皮肤遗留多个窦道。

术前,显示感染性骨不连,小腿遗留多个窦道

予清创截骨,Ilizarov外固定架固定

术后1年余,骨折愈合,拆除外固定架。恢复功能。
关注微信公众号