精湛医术
山东省立医院化疗科——"化疗+靶向+微创"肿瘤综合治疗新模式
晚期肿瘤的治疗是全人类的难题,对此,任何单一的治疗都有其长处和不足,都无法让病人的受益最大化。为此,山东省立医院化疗科发展了肿瘤综合治疗新模式——化疗+靶向+微创为主的模式,取得了理想效果,推动了肿瘤临床治疗的发展。
晚期肿瘤的治疗是全人类的难题,对此,任何单一的治疗都有其长处和不足,都无法让病人的受益最大化。只有结合病人的实际情况,将各种治疗方法在合适的时机,以合适的方法,给予合适的患者,才能在保证生存质量的前提下,最大程度地延长生存时间。山东省立医院化疗科立足于自身的传统所长(肿瘤的化疗),结合肿瘤精准治疗新进展(分子靶向治疗和微创治疗),发展了肿瘤综合治疗新模式——化疗+靶向+微创为主的模式,取得了理想效果,推动了肿瘤临床治疗的发展。
作为肿瘤治疗的传统方法,有上百年发展历史的全身化疗依旧是癌症治疗的基石,不止在于晚期癌症,即使是很多早期癌症,化疗也可以起到延长生存期的作用。癌症是全身疾病,化疗有全身治疗的独特优势。但是,化疗也面临肿瘤耐药、毒副作用较大的缺点。
肿瘤的分子靶向治疗是今年来癌症治疗最重要的进展。不同于化疗的细胞毒作用,靶向治疗可以选择性地作用于相应的分子靶点,以不同的机制控制肿瘤的进展。但是,同样面临耐药的问题。
经过化疗和靶向治疗的全身治疗作用,肿瘤病灶缩小到一定程度就不再进一步缩小,残留的病灶就成了复发的根源。这时候,以肿瘤热消融为代表的肿瘤微创治疗就可以起到消灭“残敌”的作用。热消融治疗是确切有效的,只要再消融范围内,就不会有“烧不死”的癌细胞。但是,其缺点是作用局限,对消融区域外的癌灶不起作用。
而“化疗+靶向+微创”的综合治疗模式,可以取长补短,使疗效最大化,毒副作用最小化。所以,上述病例的可喜疗效就不足为奇了。近4年来,山东省立医院化疗科已经对300余例癌症患者实施了这种新的治疗模式,取得了非常好的治疗效果。
典型病例:
男性患者,70岁,于2015年5月因“便血2年余”发现直肠癌并肝转移,并先后接受直肠癌切除和肝肿瘤切除手术。术后40天患者肝内新发多个转移病灶。至此,病人的预期生存平均不超过1年。
为求得规范的高水平治疗,病人求医于王潍博教授并入住化疗科。在王潍博主任主持下,化疗科对该病例进行了讨论研究,决定予以全身化疗、分子靶向治疗和微创治疗相结合的肿瘤综合治疗。讨论决定予结肠癌经典化疗方案mFOLFOX6,同时联合的分子靶向治疗药物贝伐珠单抗。
经上述方案治疗6个周期以后,肝脏肿瘤已经明显缩小。经化疗科再次讨论,决定加行肝转移瘤微波消融术,以期尽量消除残存病灶。2015年12月8日,在王潍博主持下,化疗科医生郑爱民副主任医师对该病例肝内病灶成功进行了消融治疗。
消融后继续原方案治疗6周期,随后以靶向药物贝伐珠单抗维持治疗10个周期。 2016年12月检查发现,患者体内肿瘤进展,需要调整治疗方案。经基因检测,发现KRAS、NRAS及BRAF基因V600E均未突变。遂予化疗伊立替康和靶向治疗药物爱必妥联合治疗,4周期后进入维持治疗。目前,病人一般情况好,肿瘤控制理想。
一个晚期肝内多发转移的肠癌患者,经过化疗科多种治疗手段的综合治疗,目前已经生存2年余,生命得到了延续,生活质量得到了保障。
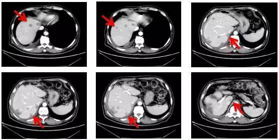
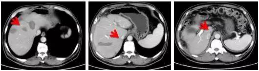
患者治疗前肝转移情况

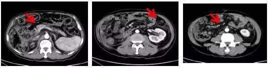
经过靶向治疗联合化疗,患者病灶缩小

2015.7.3

2015.9.4

2015.12.4
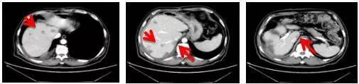
患者微波消融手术之后,病灶消融完全

消融前

消融后
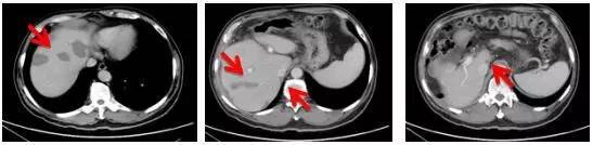
消融术后继续靶向治疗联合化疗,病情稳定未有发展

2016.7.15

2016.9.24
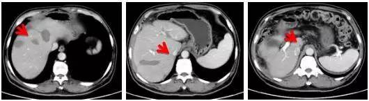
出现病情进展后给予患者更换靶向治疗药物后,患者治疗效果好,腹腔转移明显好转

2016.11.10

2017.3.13
关注微信公众号