技术引领
山东第一医科大学附属省立医院多学科协作成功实施巨大肝癌伴高危癌栓转化治疗
近日,山东第一医科大学附属省立医院(山东省立医院)奥体院区胆胰外科多学科协作,成功完成一例高风险、高难度、合并下腔静脉癌栓(癌栓几近右心房)的巨大肝癌转化治疗并实现根治性切除。这标志着科室在复杂肝脏肿瘤,尤其是初始不可切除晚期肝癌的综合诊疗领域取得了重大突破。
患者为67岁男性,体检发现肝脏有一个直径达14.3厘米的巨大肝癌,肿瘤不仅包绕了第二肝门结构,侵入下腔静脉形成广泛癌栓,且癌栓向上延伸至极高危位置——接近右心房入口。这一复杂的病情使肿瘤被判定为初始不可切除,手术面临难以逾越的技术挑战和极高的致命风险:如术中大出血、癌栓脱落导致肺栓塞或肿瘤广泛播散等。面对这一严峻挑战,省立医院胆胰外科周旭主任迅速组织了包括肿瘤科、医学影像科、感染性疾病科(肝病科)、消化内科等在内的MDT团队进行深入讨论。基于肿瘤生物学特性及患者全身状况,团队为患者精准制定了个体化的转化治疗方案:采用肝动脉灌注化疗(HAIC)联合靶向药物及免疫检查点抑制剂的三联疗法,旨在最大程度地杀伤肿瘤细胞、促使肿瘤显著缩小并使高危癌栓有效退缩,为根治性手术创造机会。
经过6周期的精心治疗,转化效果令人鼓舞:肿瘤直径由14.3cm缩小至9.0×7.4cm。更为关键的是,原本延伸至近心房的极高危癌栓成功向下退缩至第二肝门水平下腔静脉主干。经过影像学评估,确认转化治疗目标达成,患者获得了宝贵的手术根治机会。为确保手术安全可行,科室再次联合麻醉与围术期医学科、血管外科、心外科、重症医学科、肿瘤科、感染性疾病科、消化内科进行多学科会诊。专家们对转化效果、患者耐受性及手术预案进行了全面、严格的再评估。综合研判认为,肿瘤降期效果显著,癌栓位置已相对安全可控,患者全身状态可耐受重大手术,具备明确的手术指征且无绝对禁忌症。经患者家属同意后,确定对患者实施右半肝切除联合下腔静脉切开取栓术。
该手术核心难点在于需精准游离被巨大肿瘤侵犯和粘连的第二肝门区复杂结构,并暂时阻断下腔静脉进行切开取栓。此过程极易引发灾难性的血流动力学崩溃,面临血压骤升骤降和致命的癌栓脱落导致肺栓塞的风险。面对挑战,多学科团队紧密协作,麻醉与围术期医学科副主任科谷长平带领麻醉团队制定了详尽的循环管理预案。在周旭主任指导下,手术由朱化强主任医师主刀,杨发基、郝以杰、王新三位主治医师密切配合。麻醉医生李旺、孔如意严密监测心排血量、血氧饱和度、中心静脉压等关键指标。血管外科专家全程待命,随时准备应对可能突发的血管事件。手术团队凭借精湛的解剖技巧和丰富的经验,历时3小时完整地切除了巨大的右半肝肿瘤,成功将癌栓完整、彻底地取出,并对下腔静脉壁进行了精准可靠的修补。

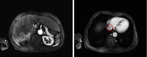
术前影像显示巨大右肝肿瘤及
下腔静脉癌栓(接近右心房水平)

术中完整切除的肿瘤标本及取出的下腔静脉癌栓

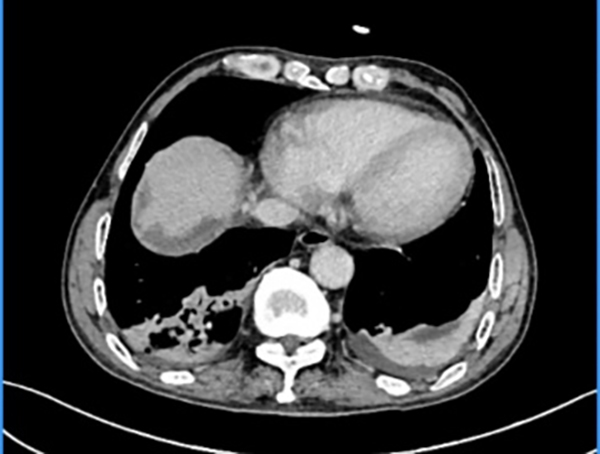
术后复查影像显示
下腔静脉血流通畅、充盈良好
在多学科团队的紧密协作下,手术最终取得圆满成功。患者术后转入重症医学科接受精心监护,生命体征平稳,顺利渡过了手术危险期。术后第4天,增强CT检查显示患者下腔静脉管腔通畅、血流充盈良好,无狭窄及血栓形成。最终的病理学检查报告证实:肿瘤及癌栓均被完整切除,手术切缘阴性(R0切除),达到了根治性效果。患者术后恢复顺利,术后第9天出院。


科室研究成果以壁报形式在2024年
新加坡举行的ESMO-Asia国际会议上展示
近年来,奥体院区胆胰外科重点打造胆胰疾病特色诊疗的同时,依托医院雄厚的平台支撑和成熟的MDT体系,持续聚焦肝脏肿瘤,特别是在不可切除的肝癌转化治疗方面做了大量临床研究工作,牵头发起的《卡瑞利珠单抗+阿帕替尼联合HAIC用于初始不可切除原发性肝细胞癌转化治疗的临床研究》取得突破性进展,研究成果以壁报形式在2024年新加坡举行的ESMO-Asia国际会议上展示。
本次病例的成功救治充分彰显了奥体院区胆胰外科在复杂肝胆胰肿瘤诊治领域,尤其是在运用MDT模式攻克疑难危重病例方面所具备的强大综合实力、深厚技术积累和高效协作能力。未来,科室将持续聚焦肝脏肿瘤,重点打造胆胰疾病特色诊疗,尤其是不可切除的肝癌转化治疗,为晚期肝癌患者创造根治可能,同时通过总结经验,为业界处理同类复杂高危病例提供可复制的成功范式。

