技术引领
山东第一医科大学附属省立医院创伤中心完成一例定制式肱骨小头置换手术
近日,山东第一医科大学附属省立医院(山东省立医院)创伤中心成功完成一例定制式肱骨小头置换手术,标志着医院在肘关节功能重建领域取得新突破。这一创新术式融合个性化定制、精准重建及快速康复理念,在国内外罕见相关报道。
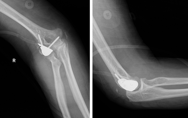
患者为一名62岁女性,因不慎摔伤导致右肘部剧痛、活动严重受限3个月,外院检查提示右侧肱骨远端骨折。为寻求进一步治疗,患者转诊至省立医院创伤中心。创伤中心李连欣主任详细检查发现,患者存在严重的骨质疏松,影像学显示肱骨小头骨折畸形愈合,近端桡、尺骨结构完整,确诊该患者为“右侧肱骨小头陈旧性粉碎性骨折”。面对骨折畸形愈合合并关节面毁损的棘手情况,传统切开复位内固定方法难以实施,且全肘关节置换手术损伤大。创伤中心团队经过探讨,最终确定采用定制化关节置换治疗方案,修复患者骨折部位、重建肘关节功能。
手术团队实行单一入路实现精准置换与韧带重建,创新性地摒弃广泛暴露的传统做法,选择右肘外侧精准切口,经肘肌与尺侧腕伸肌间隙入路,直达肱骨外侧髁骨折畸形愈合处,最大程度保护了周围健康组织。基于个体化三维影像数据,手术团队预先定制解剖吻合的人工肱骨小头假体。术中精准清除碎骨、修整畸形骨面后,手术团队按规划截骨,完美植入专属假体,并以两枚螺钉实现稳固固定。随后,手术团队仔细清理并辨识出受损的肘关节外侧副韧带及外上髁,将其整体牢固缝合至假体及肱骨外侧骨质,成功重建关节外侧稳定性,确保了术后关节韧带的完整性。



术后,患者由创伤中心康复团队制定并指导个体化康复训练。康复进程显著超出预期:术后仅1周,其肘关节疼痛及活动度显著改善,顺利出院。近期科室随访显示,患者右肘功能恢复良好,屈伸、旋转等日常活动无明显影响,生活质量提升明显,已回归正常生活。


肱骨小头骨折是一种少见的肘部损伤类型,由于其症状不典型,骨折块缺乏明显软组织附着,临床易漏诊。若不及时治疗,可发展为陈旧性肱骨小头骨折,导致肘关节活动受限、疼痛等严重功能障碍。陈旧性肱骨小头骨折常合并肘关节僵硬,骨折块小、界限不清,难以切开复位内固定。虽然肘关节置换术可以作为选择,但手术创伤大,且长期疗效尚存不确定性,此类骨折的治疗常令医生们感到棘手。
本病例定制式单纯肱骨小头精准置换,结合外上髁连同外侧副韧带整体修复治疗方案,集中体现了肘关节骨折功能修复的三大核心技术:个体化定制假体实现解剖匹配、微创单侧入路减少手术创伤、精准的外上髁韧带重建保障远期稳定。此项技术不仅为复杂肘关节损伤患者开辟了新的治疗路径,更将进一步推动创伤修复重建技术向精准化、微创化、个性化迈进。
未来,省立医院创伤中心团队将持续追踪学术前沿,不断探索创新,以科技赋能医疗,运用先进技术提升诊疗水平,助力更多复杂创伤患者重获健康。

