您所在的位置: 首页 >> 血管外科>> 特色技术 >>正文

特色技术

血管腔内置管溶栓术治疗

字号:
+-14

血管腔内置管溶栓术治疗深静脉血栓

病变静脉内用药直接作用于血栓,升高局部药物浓度,充分发挥药效,具有见效快,创伤小,出血危险性小的优点,是治疗深静脉血栓形成的较理想方法。

置管溶栓术与传统的药物治疗相比,具有缩短治疗时间,提高治疗效果的优点,值得临床推广。

7.jpg

术前双下肢比较

8.jpg

B超引导下穿刺

9.jpg

腘静脉穿刺置管

10.jpg

溶栓后静脉完全再通

11.jpg

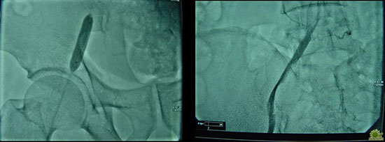
结合球囊扩张成形术

左图:髂静脉球囊扩张成形 右图:髂静脉再通


相关科室 | 相关医生 | 相关文章 | 相关咨询 | 相关视频 | 相关疾病