技术引领
-
打开搜索引擎,输入“淋巴瘤样肉芽肿”,得到的答案并不唯一。有人说是“血管炎和肉芽肿反应的一种少见类型”,有人说是“以血管为中心和血管破坏为主的淋巴增生和肉芽肿性疾病”,可以看出这是一种非常罕见的疾病,还缺少统一的共识。罕见到什么程度呢?全世界文献报道的神经系统受累的淋巴瘤样肉芽肿病例目前不超过50个。其中,肺、脑均发病的淋巴瘤样肉芽肿世界上仅有个案报告。历经一年多的时间,山东第一医科大学附属省立医院…
-
近日,山东第一医科大学附属省立医院(山东省立医院)血管外科王默、孔祥骞教授团队顺利完成山东省首例经颈动脉血运重建术(TCAR)。此次手术的成功实施,不仅充分展现了王默教授团队在颈动脉狭窄治疗领域的卓越技术与精准操作,更标志着山东省颈动脉狭窄治疗迈入新的微创时代。高龄患者,解剖结构复杂,传统手术风险大本次手术患者为81岁高龄,饱受头晕、嗜睡困扰1年余。超声检查发现其左侧颈内动脉重度狭窄。患者入院后,王默、孔…
-
3月7日,山东第一医科大学附属省立医院(山东省立医院)骨关节科李伟教授完成山东省首例个性化定制假体膝关节置换术。此次手术是李伟教授团队参与的2023年度国家重点研发计划——使用高适配3D打印定制式人工膝关节进行关节置换的重要成果。作为山东省唯一参与该重点研发计划的团队,在医学影像科王锡明教授团队的支持下,基于术前影像学检查(X线、CT和MRI)进行充分的术前评估和截骨导板、假体的设计,李伟教授团队为患者“量身定制…
-
近日,山东第一医科大学附属省立医院(山东省立医院)麻醉手术科和手足与显微重建外科团队紧密协作,在超声引导双下肢神经阻滞麻醉支持下,成功为一位双足坏疽患者实施清创术。患者术后恢复良好,顺利出院。患者为一名72岁的老年男性,术前双足坏疽感染坏死40余天,同时合并低蛋白血症、重度感染,病情危急。清创术是挽救患者生命和改善预后的关键,但患者因常年过量饮酒,饮食极度不规律,身体机能较差,体重仅35kg。术前白蛋白29…
-
近日,山东第一医科大学附属省立医院(山东省立医院)消化内科姜军梅教授团队成功完成了一例内镜下经盲肠阑尾切除手术,这标志着省立医院在微创诊疗领域又迈出了坚实的一步。患者为一名60岁男性,有高血压和糖尿病病史。外院肠镜检查发现阑尾开口处有一黏膜下隆起,入院后强化CT显示阑尾开口处有一0.8cm×0.7cm的环形强化灶,内镜下冲洗阑尾开口处发现有脓液流出。主任医师姜军梅分析患者病情后,认为该黏膜下隆起很可能是单纯性阑…
-
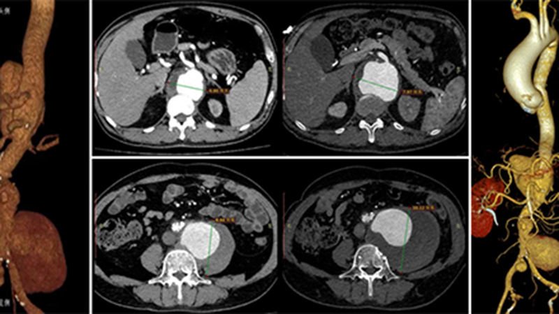
近期,山东第一医科大学附属省立医院(山东省立医院)进行了2023年度技术创新奖和重大抢救奖评选。为让社会大众更深入、更精准地认识医院优秀科室,展现医院近年来疑难复杂疾病救治能力和医疗技术水平的进步,让患者及家属享受到更加优质、高效、快捷的诊疗服务,医院将陆续推送相关获奖案例。51岁患者李先生因“腰腹痛5月,间断发热、乏力、多汗4月”转入山东第一医科大学附属省立医院(山东省立医院)治疗。李先生既往高血压病史10年…
-
近期,山东第一医科大学附属省立医院(山东省立医院)进行了2023年度技术创新奖和重大抢救奖评选。为让社会大众更深入、更精准地认识医院优秀科室,展现医院近年来疑难复杂疾病救治能力和医疗技术水平的进步,让患者及家属享受到更加优质、高效、快捷的诊疗服务,医院将陆续推送相关获奖案例。32岁的姜女士在2023年10月时发现右乳有鸡蛋大小肿块,在当地医院就诊经病理穿刺活检诊断为右乳浸润性癌,由于癌肿体积较大,需要采用全切手…
-
近期,山东第一医科大学附属省立医院(山东省立医院)进行了2023年度技术创新奖和重大抢救奖评选。为让社会大众更深入、更精准地认识医院优秀科室,展现医院近年来疑难复杂疾病救治能力和医疗技术水平的进步,让患者及家属享受到更加优质、高效、快捷的诊疗服务,医院将陆续推送相关获奖案例。近期,山东第一医科大学附属省立医院(山东省立医院)小儿重症医学科(PICU)靳有鹏主任团队与器官移植肝胆外二科刘军主任团队以及麻醉手术科…
-
近期,山东第一医科大学附属省立医院(山东省立医院)进行了2023年度技术创新奖和重大抢救奖评选。为让社会大众更深入、更精准地认识医院优秀科室,展现医院近年来疑难复杂疾病救治能力和医疗技术水平的进步,让患者及家属享受到更加优质、高效、快捷的诊疗服务,医院将陆续推送相关获奖案例。谈到传统心脏外科手术,给患者第一印象就是“开胸锯骨”,胸部正中25cm左右的手术疤痕,给患者带来强烈的视觉冲击。虽然传统的心脏外科开胸…
-
近日,山东第一医科大学附属省立医院(山东省立医院)眼科成功为一名视网膜脱离患者实施折叠顶压球囊(FCB)视网膜复位术。这种视网膜复位术不改变眼内环境,术后患者可采取自由卧位,改善手术体验感。患者今年七十多岁,近几天突然感觉自己右眼视力大幅度下降,家属带着老人到省立医院眼科检查。周玮琰副主任医师检查后确定,患者是右眼孔源性视网膜脱离,且脱离的视网膜波及黄斑区,所以视力急剧下降,只能看见眼前50cm,近乎失…

