医院动态
创伤小恢复快,微创小手术解决大囊肿
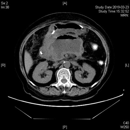
腹部高高隆起如怀胎十月、憋喘胸闷状况严重且完全不能进食,这让68岁的董阿姨痛苦不堪。近日,她因反复胰腺炎发作并发了胰腺假性囊肿,在当地医院治疗效果不理想,而假性囊肿又在持续增大,于是转诊至我院东院区。此时,CT提示囊肿大小已达12X18cm,临近的器官已经受到了推挤。
“腹部疼痛已经3个月了,”并且还在逐渐加重影响了她的呼吸。我院东院区内科综合一科的医务人员在完善相关辅助检查后,于3月21日由胡锦华副主任医师为她进行了EUS引导下胰腺假性囊肿穿刺引流术,在胃与假性囊肿之间置入支架,成功将囊液引流至胃内。术后董阿姨的腹痛缓解了,胸闷、憋喘症状也消失了。术后3天复查CT,囊肿已缩小超过50%,效果显著。董阿姨已于近日顺利出院。

术前CT

术后3天CT
据了解,胰腺假性囊肿多继发于胰腺炎、胰腺损伤、胰管梗阻等疾病,由胰液外漏、坏死组织、血液渗出等被包裹、不能吸收而形成。囊壁主要由炎性纤维结缔组织构成,囊内无胰腺上皮层衬垫,因此称为胰腺假性囊肿。临床上最常见的症状是腹痛。随着囊肿的增大可引起各种并发症,如包绕大的血管可出现囊内出血;囊内感染时,可出现高烧;囊肿过大,可压迫周围组织,出现不能进食、脾脏增大、胸闷,甚至可以出现囊肿破裂,引起弥漫性腹膜炎。
在临床中,对于小于6cm的假性囊肿,应以观察为主,等待囊肿自行吸收。但是,对于大于6cm和(或)出现临床并发症的假性囊肿,则应该积极治疗。传统的治疗方法包括外科手术和经皮穿刺外引流。外科手术主要为囊肿胃吻合术和囊肿空肠吻合术,需要消化道重建,对患者创伤大,花费高。而经皮外引流,由于引流管较细,易堵塞、易出现逆行等不良反应。与传统治疗方法相比,超声内镜引导下胰腺假性囊肿穿刺支架引流术是近几年发展成熟的微创治疗方式。在EUS引导下选择最佳的穿刺部位对胰腺假性囊肿进行穿刺,并在消化道和假性囊肿之间放置支架或引流管,把囊腔内的液体引流到消化道,囊肿就会逐渐消失。EUS引导下胰腺假性囊肿穿刺引流术具有成功率高、创伤小、并发症低、恢复快、复发率低等特点,逐渐取代传统的治疗方法,成为目前治疗胰腺假性囊肿主要的和首选的治疗方法,极大地减轻了病人的痛苦。
截至目前,我院东院区内科综合一科已成功完成十余例超声内镜引导下胰腺假性囊肿穿刺支架引流术,患者恢复良好,术后囊肿无复发。

