您所在的位置:
首页
>>>> >>
科室动态
我院小儿骨科成功为一名癫痫病患儿实施接骨手术
近日,我院小儿骨外科克服多种障碍,成功为一名三岁的癫痫病患儿实施接骨手术。
该患儿3岁,出生后半年发现癫痫,发育明显落后,不能站立、行走。家长辗转各地,多处求医后效果不佳。后辗转来到山东临沂行针灸治疗取得一定效果,在治疗过程中患儿再次抽搐导致右股骨干骨折。
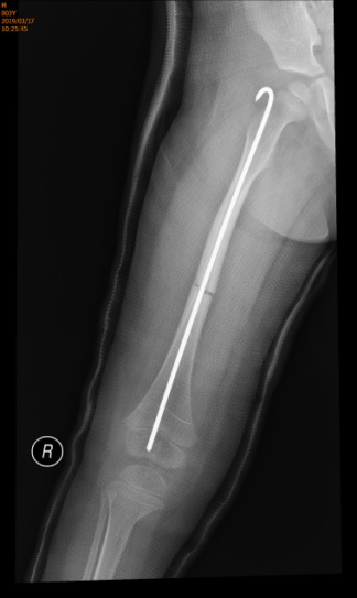
我科收治后,积极组织科室讨论治疗方案。考虑到患儿出生后长期卧床、不能行走,骨折疏松严重,不能采取常规手术方案。同时也要防止远期再次骨折的发生,最后决定采用髓内Rush钉固定,既保证了骨折的良好复位,又能降低远期再次骨折的发生。确定了手术方案后,我科积极联系麻醉科、小儿重症医学科等科室充分评估患儿术中、术后风险,保证患儿安全度过手术、平稳回到病房。
经过前期充分准备,手术进行非常顺利,术中患儿各项生命指标平稳。手术后平稳转入小儿重症医学科。术后第二日平稳回到我科。经我科室的积极诊治及相关科室的密切配合,患儿平平安安出院。患儿家长对我科室的治疗十分满意,给予了充分肯定和赞扬。

术后复查骨折对位好,Rush钉位置好

