医院动态
【引领】复杂食管气管瘘患者的福音——东院呼吸与危重症医学科开展硬质支气管镜下覆膜支架封堵术
呼吸内镜下介入诊疗技术是现代呼吸病学的重要组成部分,
已成为呼吸与危重症医学科医师必备的一项临床技能。
它不仅减轻了患者的痛苦
更提高了患者的生存质量
可谓是患者的一大福音哦~
近日,在山东省立医院东院呼吸与危重症医学科主任林殿杰教授的指导及东院麻醉科主任徐艳冰等的协助下,由呼吸与危重症医学科李德志副主任医师带领科室万云焱、姚周虹主治医师、赵静护士长组成的介入团队在手术室全麻硬质支气管镜下成功为一名食管癌、复杂食管气管瘘的患者放置“Y”型覆膜气管支架。
患者系老年男性,食管癌化疗后合并食管气管瘘,无法进食,吸入性肺炎,反复发热,应用多种抗生素效果欠佳,尝试消化道支架封堵失败。

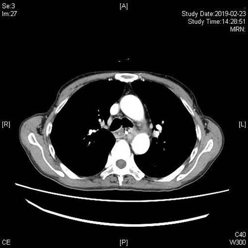
治疗前CT:A瘘口

B肺部感染
行气管镜检查,镜下见:左主支气管起始部瘘口形成,侵及隆突及气管远端,瘘口大于1.5cm,管腔部分狭窄,常规的气管支架已无法解决患者面临的问题。

治疗前(镜下)
为缓解患者身心痛苦,科室讨论后制定方案,全麻下经硬质支气管镜下置入“Y”型覆膜支架,放置“Y”型覆膜支架的难度及风险比普通气管支架要大的多,需要定位准确、一次到位,一旦位置不准确或者支架打不开,会导致患者窒息及出血,带来致命危险,且患者年龄较大、一般情况差,风险极大,在支架置入过程中,需要团队之间、与兄弟科室之间的密切配合。最终经大家沉着、冷静、密切配合成功为患者解除了痛苦,手术顺利封堵瘘口。这标志着我科在呼吸内镜介入诊疗方面再上新的台阶!
镜下瘘口封堵后

患者经硬镜下“Y”型覆膜支架顺利封堵瘘口并充分吸痰,积极抗感染治疗后,患者体温得到有效控制,复查胸部CT炎症明显好转,可自主进食,解决了患者长期以来无法进食及肺部感染的问题,生活质量得到极大提高。患者及家属对治疗效果非常满意。
山东省立医院东院呼吸与危重症医学科自成立以来,在林殿杰教授的带领下逐渐形成了一支年富力强、朝气蓬勃的介入团队,开创性的开展了气管镜及硬镜下各种介入技术,包括激光、氩气、高频电刀、冷冻、支架置入、球囊扩张等,处理各种复杂的气道内病变,大大减轻了患者的痛苦,提高了患者的生存质量,为无数患者带来了福音。


术中操作及我们的团队

