技术引领
陈修德|无管化经皮肾镜取石术的临床应用

编者按:本期为大家分享的是山东省立医院泌尿外科陈修德老师的稿件——“无管化经皮肾镜取石术的临床应用”,回顾性分析86例上尿路结石患者采用无管化经皮肾镜取石术的治疗情况,总结了无管化优势、操作要点。
研究背景
经皮肾镜碎石术(PCNL)目前有两种发展趋势,一是更微创化,即穿刺通道更细;二是无管化,即术后有选择性地对患者不留置肾造瘘管。
无管化PCNL是对传统引流方式的改进,在不增加并发症的同时可降低术后住院时间,减轻疼痛,减少术后出血。但目前对无管化经皮肾镜取石术的开展还存在一定争议。
资料和方法
回顾性分析2018年1月至2018年10月我院采用无管化经皮肾镜取石术治疗的86例上尿路结石患者的临床资料。
1)结石清除率
2)疼痛模糊评分(VAS)
3)肾周血肿发生率
4)尿外渗发生率
5)发热
6)出血及输血情况
7)术后住院时间
结果(一)
1)86例手术均一期取净结石,手术时间15-60min,平均(30.6±8.2)min;
2)VAS评分为(3.08±0.36)分;
3)术后血红蛋白平均下降(6.02±3.06)g/L,无输血病例,无选择性肾动脉栓塞病例;
4)无明显肾周血肿及尿外渗发生;
5)术后有5例患者出现明显发热(体温>38.5℃),经抗感染治疗后好转;
6)术后平均住院时间(2.8±0.6)d;
7)术后4周复查,未发生其他明显并发症。
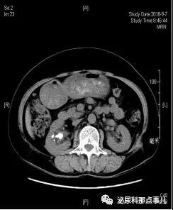
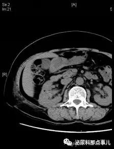
结果(二)






术前KUB

术后KUB

术前CT

术后CT

(一)无管化的理论依据
Wickham等于1984年最早提出了无管化的概念。
Bellm等在1997进行了一项临床研究,将其实施的50例无管化PCNL与50例术后留置肾造瘘管的病例进行对比分析,发现两组术后并发症无区别,但前者术后住院时间、疼痛程度、恢复日常活动时间、住院费用均显著减少。
Etemadian等对无管化PCNL术采用随机分组研究,发现留置肾造瘘管一组与无管化一组患者出血量差异无统计学意义,然而无管化组患者住院时间明显缩短。
(二)无管化的并发症
主要并发症包括出血、感染、尿漏。
出血:不当的手术操作;
感染:与术前上尿路感染、术中灌注压力等有关;
尿漏:与术中操作及术后输尿管支架管引流是否通畅等有关。
(三)无管化的优势
没有了术后肾造瘘管的牵拉感,避免造瘘管意外牵拉引起的术后大出血;
患者疼痛明显减轻,更易接受,同时避免了术后肾造瘘管的护理;
手术瘢痕更小、更美观,让经皮肾镜取石术像“打一个肌肉针”一样简单;
穿刺通道不与外界相通,减少了感染的风险;
缩短了住院时间,节约了住院费用,符合ERAS治疗的理念。
(四)实施要点
一、严格把握适应症,避免为了“无管化而无管化”
1)术中无明显结石残留,无需二期手术;
2)术中无严重出血,术毕无活动性出血;
3)术前、术中无明显感染;
4)术中无集合系统穿孔或严重尿外渗;
5)结石远端尿路无梗阻等。
二、术中熟练且精细的手术操作
精准穿刺 沿肾盏长轴的穹隆穿刺
“同轴扩张,宁浅勿深”
“先易后难” 碎石清石要轻柔,避免撕裂盏颈
一台好的B超,良好的超声基础和经验,参数调节
三、术后穿刺通道的有效处理
操作要点:安全导丝,低压灌注
止血处理:电凝止血,激光烧灼
皮肤切口:直接缝合或医用胶
结论
随着PCNL日益普及,先进的手术设备不断开发应用和操作技术不断完善,无管化PCNL取得了长足的发展。在严格把握适应症的情况下,无管化PCNL手术效果良好,无严重并发症,术后恢复快,美观更加微创。
无管化PCNL更加符合快速康复理念(ERAS),而且是安全可行的。
分享嘉宾

陈修德,男,47岁,中共党员,医学博士,副主任医师。工作单位为山东省立医院泌尿外科,主要负责泌尿系结石的微创治疗和预防。
学习经历:1993年7月毕业于滨州医学院,获得学士学位。2005年7月获得山东大学医学博士学位。2007年在美国加州大学、霍普金斯医院以及美国国立卫生研究院专门研修学习结石的治疗与预防。
学术兼职:现为山东省医学会泌尿外科学分会结石学组委员、山东省疼痛医学会泌尿生殖分会副主委和山东省中西医结合学会委员;兼任《中华实验外科杂志》特约编辑,《实用老年医学》杂志编委和《泌尿外科杂志》(电子版)编委。兼任邹城市人民医院泌尿外科名誉主任、教授及宁阳县人民医院泌尿外科名誉教授。
目前主要从事泌尿系结石的微创治疗和预防工作,每年完成结石微创手术500余例。在中华泌尿外科杂志、中华实验外科杂志以及中华男科学杂志等杂志发表论文50余篇,参编学术专著4部,其中《泌尿微创外科技术》副主编一部。2015年创建山东最早的泌尿结石微信群《石界-齐鲁泌尿结石论坛》,促进了山东省结石诊疗水平的发展。

