医院动态
【引领】心梗真闹心,“堵心”才安心——山东省立医院心脏大血管外科采用超声引导下经胸微创封堵技术,成功救治高难度室间隔穿孔患者
据《中国心血管病报告2017》,中国的心血管病患病率处于持续上升阶段,其中冠心病有1100万,心血管病死亡率仍居首位,占全部死因比例的45%,高于肿瘤及其他疾病。
室间隔穿孔是冠心病心肌梗死后的严重并发症,多发于前间壁(60%),少数发生于后间壁(20%),内科保守治疗效果差,一旦穿孔,造成大量血液左向右分流(图1),往往迅速发生心力衰竭、心源性休克,死亡率高达25%。传统治疗方法就是开胸手术,但手术风险高,创伤大,死亡率高。虽然近期出现了介入治疗的探索,但操作困难,少有医者问津。主要原因是该病患者病情重,室间隔穿孔大,常位于心尖部,位置深,空间狭小(图2),很难用传统介入方法去封堵,成功率低。

图1

图2
即便是如此高难度高风险的手术,
也难不倒我院心血管外科的专家们……
新年伊始,山东省立医院心脏大血管外科的李红昕主任与超声诊疗科的郭文彬主任合作,在单纯超声引导下,成功为一例心梗、大型室间隔穿孔、心功能Ⅳ级的患者进行了微创室间隔穿孔封堵术。

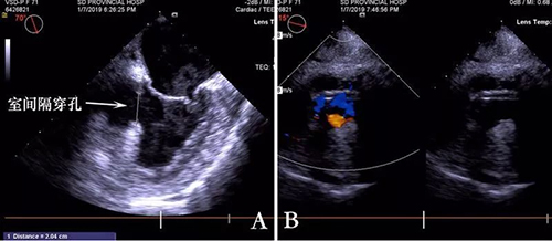
患者杨某某,71岁,入院诊断为“冠心病,心梗,室间隔穿孔”,入住心外科,超声发现:室间隔穿孔位于后间壁,直径20mm(图3)。年龄大,心功能差,开胸体外循环手术风险高,而介入方法又难以治疗。经科室讨论,选择外科介入封堵的方式是最佳的治疗方案,微创、不用体外循环、不接触X线和造影剂,更利于患者的救治。

图3
在麻醉科的鼎力配合下,李红昕和王正军两位医生配合,采用胸部小切口,首次经右心室膈面穿刺进行操作(图4)。术中他们克服了现有封堵器不够大,单枚封堵器不能完全封堵的困难,在经食管超声引导下,用两枚封堵器成功堵住了室间隔穿孔(图5)。患者转危为安,迅速康复。

图4

图5
我院心脏大血管外科和超声诊疗科合作(图6),从2013年开始,在国内外率先开展了心梗室间隔穿孔的经胸封堵治疗。该技术由于“贴心”治疗,操作距离短,封堵调控精准,遇心脏出血等并发症能及时控制,极大提高了封堵成功率和安全性。本例室间隔穿孔大、从心脏膈面操作、双封堵器植入,都是前所未有的,标志着我省的心梗室间隔穿孔治疗水平又上了一个新台阶。

图6

