技术引领
【引领】“一根针取石”!—记山东省立医院陈修德泌尿系结石团队“超微通道经皮肾镜碎石术”治疗肾结石!

肾结石是泌尿外科最为常见的疾病之一。肾结石的治疗,直径较小、位置较好者,可选择体外冲击波碎石或输尿管软镜碎石术。但对于较大肾结石或位于肾下盏的结石,往往选择“经皮肾镜碎石术”。
所谓“经皮肾镜”指的是在腰部建立一条从皮肤到肾脏的通道,通过这个通道把肾镜插入肾脏,利用激光、超声、气压弹道等工具把肾结石击碎后取出。但经皮肾穿刺通道的建立存在肾损伤甚至大出血可能,故为了最大限度地降低出血风险,近年来临床医师将经皮肾镜通道不断的改良、通道内径不断缩小。
近期山东省立医院东院泌尿外科二区陈修德结石团队在我院率先开展“超微通道经皮肾镜碎石术”UMP(ultra-mini PCNL),取得了极佳效果。
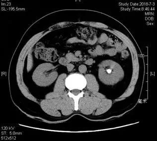
患者晁某某,因“发现左肾结石1月”入院,患者一个月前因左侧腰痛和血尿于当地医院行“输尿管软镜下碎石术”,术中因结石位于左肾下盏内,软镜视野欠佳、导致结石部分残留。术后第5天再发腰痛,后来我院就诊。我院CT显示结石位于左肾下极(图1),结石最大直径约2.0cm,外院输尿管软镜碎石失败原因,考虑为肾下盏与肾盂输尿管夹角较小,输尿管软镜存在视野盲区。陈修德主任决定对该例患者实施“超微通道经皮肾镜碎石术”。

图1 (a)平片所示左肾结石

图1 (b)CT所示左肾结石
手术选择超细经皮肾镜UMP(ultra-mini PCNL),是当前内窥镜行业硬镜中最细的内窥镜,直径仅为1mm,其外鞘通道仅为4mm。故称此手术为“一根针取石”(寓意穿刺通道极细、肾损伤极小)。图2:A为常规经皮肾镜通道外鞘、B为超微经皮肾镜通道外鞘、C为超微经皮肾镜。

图2 超细经皮肾镜通道外鞘和标准通道外鞘直径对比。
首先12肋旁标记体外穿刺点,皮肤切开4mm切口,超声引导下穿刺针置入目标肾盏(图3),置入导丝,导丝引导下逐级扩张,最后将Fr13的超微经皮肾镜UMP外鞘置入肾盂内,至此通道建立完成(图4)。

图3 超声引导下穿刺针置入目标肾盏

图4 Fr13超微经皮肾镜外鞘置入肾盂内
将Fr7.5肾镜经由外鞘置入肾盂、肾下盏内(图5),将冲洗软管连接到内鞘的冲洗口处,经由肾镜置入激光光纤并对准结石,将结石粉碎(图6)。碎石完成后,外鞘管的小通道注入水流进入肾脏,在肾盏/肾盂内形成小范围高压。水流遇到碎片结石后反向流动形成漩涡,碎片结石随漩涡被冲入管鞘的低压区大孔,自动排出体外,无需使用取石钳和取石篮。

图5 Fr7.5肾镜经由外鞘置入目标肾盏内

图6 经由肾镜置入激光将结石粉碎
因为经皮肾通道口径“超微”,故肾实质损伤较小、出血极少,术中视野极佳,碎石精准无残留。且术后无需放置肾造瘘管(图7),可明显减轻患者痛苦和缩短住院时间。

图7 术后无需放置肾造瘘管
临床资料显示,“超微通道经皮肾镜碎石术”具有手术时间短、出血少、安全性高、住院时间短、费用低等优点。尤其适合直径小于2cm的肾下极、肾下盏结石的微创治疗。目前在全国泌尿外科领域悄然兴起,仅少数医院在开展,我院泌尿外科陈修德结石团队已将“超微通道经皮肾镜碎石术”列为肾结石治疗的常规术式,该技术在我省泌尿外科结石微创治疗领域处于领先水平。

