医院动态
山东省立医院心脏大血管外科运用外科介入技术,成功治疗主动脉窦瘤破裂合并艾森曼格氏综合症患者
近期,山东省立医院心脏大血管外科成功为一主动脉窦瘤破裂合并艾森曼格氏综合症患者实施外科介入术,重燃患者的生命之光。
不久前,一位病体孱弱、 举步维艰的中年女性患者来到山东省立医院就诊。心脏大血管外科主任医师李红昕经诊断,患者患有先天性心脏病、室间隔缺损,合并重度肺动脉高压(123mmHg)。就诊时,患者已出现紫绀、轻度杵状指,室间隔缺损处以右向左分流为主。这意味着患者的先天性心脏病由于治疗不及时,已进展到不能手术的地步,出现了“艾森曼格综合症”,做手术反而加速死亡。
雪上加霜的是,患者突发“主动脉窦瘤破裂”,出现呼吸困难,不能平卧,心力衰竭等症状。以往,主动脉窦瘤破裂的治疗,需在体外循环下行开胸修补术。而体外循环过程对于重度肺高压、艾森曼格氏综合症患者却是伤害,很可能造成该患者在手术完成后,因无法脱离体外循环而死亡。换句话说,患者的先天性心脏病虽然已经不能手术,但短期内并不危及生命,预计可以生存十年以上。但“主动脉窦瘤破裂”病情凶险,需要尽快手术,否则患者很快就会因为心力衰竭而死亡。

治疗上的矛盾使患者转诊多家医院,均无良策。怎么办?进退维谷!
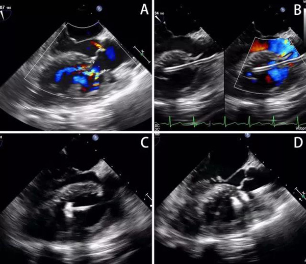
心外科联合超声诊疗科、麻醉科共同经过审慎讨论后,决定在控制患者心衰后,用最新的外科介入技术救治该患者。什么是外科介入?这是一种在单纯超声引导下的微创导管治疗,术中经皮穿刺或经胸部小切口,将一根输送鞘管插至主动脉窦瘤破口,用特制的“铆钉”封堵住窦瘤破裂,操作过程不需要体外循环,不输血,医患双方均不接触X线。
由于该患者窦瘤破口多发,医护人员们在术前专门订制了更匹配的封堵器。手术由李红昕主任主“刀”,在超声理疗科主任郭文彬的超声引导下,不做任何切口,仅穿刺大腿血管,把一根输送鞘管经主动脉全长,插至窦瘤破口,将特制的封堵器铆定在窦瘤破口处,成功堵住了“决堤”的主动脉。手术仅历时46分钟,患者重获新生。

近年来,山东省立医院心脏大血管外科的外科介入技术突飞猛进,新技术、新方法不断涌现,成为治疗先天性心脏病和心脏瓣膜病的重要手段,形成了自己独有的竞争优势。经皮和经胸两种微创治疗方式相得益彰,不受年龄限制,不接触X线和造影剂,简单病例经皮做,困难病例经胸做,不切口或小切口,大大提高了治疗的安全性,扩大了手术指征,提升了患者满意度。先后有北京、上海、广州等全国几十家三甲医院前来参观、 学习,使我院心脏大血管外科和超声诊疗科成为全国外科介入治疗领域的一个标杆。

