微创无痛种植
数字化口腔种植
数字化种植技术是指以患者CT影像信息和相关修复信息为基础,借助专业种植设计软件,进行术前诊断和种植方案规划;通过牙种植手术导向模板,将术前制订的种植方案准确应用于种植手术和即刻修复的全过程,实现以修复为驱动的牙种植修复。
“导板”是牙种植手术导向模板的简称,它是将术前确定的种植方案精确转移至患者身上的个性化手术辅助器械,在种植备孔过程中帮助医师精确控制种植位置、角度和深度,在临时修复体的设计制作中帮助确定种植体的位点和方向。
数字化种植的基本流程体现了将手术信息与修复信息相互融合的内涵,帮助临床医师实现种植修复效果与术前预期的高度一致。数字化种植的基本流程,在传统种植流程的基础上融入了数字化的主线:
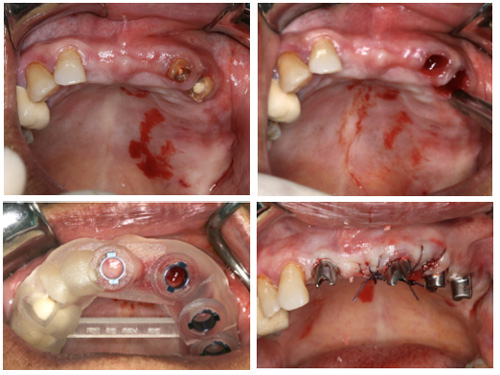
1.临床检查、数据采集与方案规划
利用专用的种植设计软件,通过CBCT 数据的三维重建,完成种植方案的规划设计。向患者详细介绍种植和修复方案,获得患者的认可。根据种植方案完成种植导板的数据模型,通过3D打印等技术完成种植导板的制作。如果种植方案为即刻修复,则根据种植导板完成临时修复体的制作。

2.即刻种植
数字化口腔种植技术的优势与传统种植技术相比,在导板的帮助下,根据术前的方案规划和术中导板的精确定位,拔牙和种植可在一次手术中完成,种植位置、角度和深度都得到精确控制,实现微创手术、减轻患者痛苦。根据术前的合理规划和术中导板的精确定位,最大限度减小手术创伤、实现微创手术,降低术后肿胀、疼痛、感染等并发症的发生风险。

3、即刻修复
根据术前确定的种植方案制备临时修复义齿,手术过程中种植和修复一次完成。

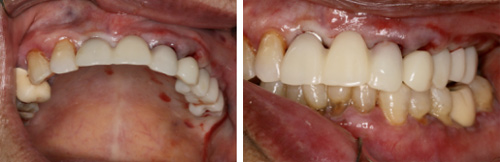
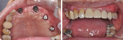
4、最终修复美学效果显著改善
得益于术前的计算机辅助设计,种植修复后的美学效果可以预测,在种植方案规划中综合考虑咀嚼功能和美学功能的协调。




医院官方网站(电话)
