精湛医术
山东省立医院、山东省立口腔医院修复科——数字化美学修复技术
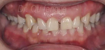
爱美爱笑就是牙齿好难看?那么今天要介绍的这种技术简直是为这样的小伙伴量身打造~数字化美学修复技术,是以口腔美学标准为准则,充分运用计算机技术,对各种不美观的牙齿进行可视化牙齿美容设计及美容治疗的特色修复技术。看完你就明白,这种技术简直太神奇~
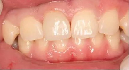
自2005年6月,山东省立医院修复科逐步开展数字化美学修复技术,尤其注重牙齿美学修复,推崇自然美和个性美的有机结合。我们一直秉承:在有效恢复患者咀嚼和语言功能的同时,更体现出患者真实、自然和生动的个性美感。


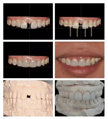
数字化美学修复技术,是以口腔美学标准为准则,充分运用计算机技术,对氟斑牙、四环素牙、变色牙、畸形牙、散在牙间隙、牙体缺损等不美观的牙齿,进行可视化牙齿美容设计及美容治疗的特色修复技术。修复科应用的数字化微笑设计(Digital Smile Design, DSD)是目前口腔美学领域较前沿的美学修复设计手段。该技术以口腔美学标准为准则,利用患者面部和口内外数码照片,结合专业的图像处理技术,对患者正面微笑等进行美学分析和设计,最终得到以诊断蜡型为核心的一些列美容治疗计划与数据。

牙齿的美是容貌美丽的重要内容,有健康美丽的牙齿支撑,面形才会丰满,口角轮廓及面部长度才会更加协调,而数字化美学修复技术很好地实现了这一点,它将修复、摄影及计算机技术有效结合在一起,使口腔美学分析、美容治疗设计及预后效果可视化。让患者在美容治疗术前就对治疗效果有所了解,使美容修复体更能符合医患双方的要求。

修复科自2005年开展数字化美学修复技术以来,已成功治疗100多例患者,修复效果得到了患者的广泛认可。在数字化美学修复技术领域,我院始终走在全省前列,科室更是再2015年的2月成立了数字化美学修复特色门诊。我们不仅有技术精湛、经验丰富的专家团队,也有勇于开拓、不断创新的青年精英,我们始终本着以人为本、以患者为中心的原则,精诚为广大患者提供优质服务,患者恢复健康的口腔和自信的笑容将是我们口轻修复科义不容辞的责任。


关注微信公众号