精湛医术
山东省立医院血管外科——腹主动脉瘤腔内覆膜支架修复术
如果让你用3D打印做一件事情,你最想打印啥?自己美丽的侧脸?还是心爱的萌宠?或者一座大house? ……
在省立医院血管外科,3D打印技术已经被用来治病救人啦!是不是很高大上?我们今天要介绍的腹主动脉瘤腔内覆膜支架修复术就是借助3D打印技术实现的,这种脑洞大开的医术将会为更多人带来新生~小编都等不及来了解一下啦!
腹主动脉瘤腔内覆膜支架修复术(endovascular vascular aneurysm repair, EVAR)是当前治疗腹主动脉瘤既微创又有效的方式。但是EVAR治疗方案十分依赖于腹主动脉瘤的解剖学形态,如严重扭曲或过短的瘤颈将影响EVAR方案的选择和预后。把CTA数据输入计算机,利用3D打印机呈现出与实际病变相同尺寸的胸腹主动脉瘤,指导支架开窗,便是3D打印技术应用与三分支开窗重建技术的联合。通过3D打印能够精准复制动脉瘤,可直视下全方位角度了解病变的解剖学情况。此类手术的开展代表我院血管外科诊疗技术已达国际先进水平。
典型病例
山东省立医院血管外科以金星教授为首的血管外科团队联合应用三分支开窗重建技术及3D打印技术成功治疗复杂腹主动脉瘤一例。据悉,此患者为省内首例联合应用该技术的患者,手术取得了圆满成功,达到了世界先进、国内领先水平。
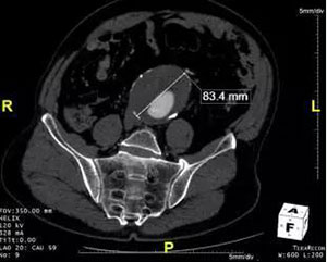
该患者为老年男性,腹主动脉瘤最大直径大于7cm(图1,图2),属于巨大腹主动脉瘤,如不及时处理,随时有发生破裂致猝死的可能。该患者既往高血压病史20余年,冠心病病史10余年,同时合并冠脉多支病变,脑梗塞病史2年,合并病多,不能耐受传统的开放手术,进行腹主动脉瘤切除+人工血管重建术;而该患者如行腔内治疗,近端肾下锚定区长度不足,传统情况下,此类患者一般会无法进行有效治疗,无奈等待破裂死亡。该患者曾于外院诊治,外院均无处理腹主动脉瘤的方法。

图1

图2
在金星教授的精心指导下,张十一主任医师团队(张十一主任医师、董典宁副主任医师、王默副主任医师、徐磊主治医师、王茂华主治医师等),本着以治病救人为第一要务的原则,群策群力,率先在省内联合应用三分支开窗重建技术及3D打印技术(图3)建立足够的锚定区来腔内修复复杂腹主动脉瘤,获得了圆满成功(图4,图5),通过新技术解决了原来不能解决的问题,挽救了患者的生命,达到了国内领先水平,将来会为类似患者的救治提供了新思路,必定会挽救大量患者的生命。

图3

图4

图5
关注微信公众号