精湛医术
山东省立医院血管外科——重症复杂腹主动脉瘤介入三明治诊疗技术
“重症复杂腹主动脉瘤介入三明治诊疗技术”——可不要小瞧这个名字很长看起来很好吃的技术哦~(原谅小编第一眼就看到了三明治三个字),它创伤小、恢复快,大大减少了病人的痛苦,让生命活得更有质量!而且,它还填补了我省、我院的技术空白,变很多不可能为可能!今天,就带大家领教一下它的威力吧!
复杂腹主动脉及髂动脉瘤是一种严重威胁人类健康的疾病,传统开放手术死亡率高,并发症多;血管腔内治疗创伤小、恢复快。“三明治”技术在复杂动脉瘤腔内治疗中能保留重要分支动脉、减少手术时间、减少创伤及围手术并发症发生几率,而且填补了我省、我院的技术空白,在国内外血管外科处于领先,该术式拓展了手术适应症,使原来认为无法手术或微创的病人可以用微创的方法来治疗。
对于复杂腹主动脉及髂动脉瘤的治疗,目前国内外文献上报道有分支支架、髂内动脉转位、分期封闭髂内动脉等方法。山东省立医院血管外科吴学君主任医师于2013.3月率先开展“三明治”保留单侧髂内动脉技术,目前已开展20余例,近期及远期随访效果均佳,有效保留了分支动脉,有效提高患者的预后及生存质量。此类手术的开展代表我院血管外科诊疗技术已达国际先进水平。

典型病例
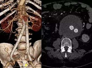
男性患者,66岁,以“腹痛3天”入院,查体:脐周可触及波动性包块,约8×10cm大小,压痛。

向家属简要讲明病情危重性及目前治疗方案的可选项(开放手术治疗及腔内“三明治”保留分支微创治疗),急症行腹主动脉瘤腔内修复+右髂内动脉栓塞+三明治重建左髂内动脉。术后患者动脉瘤完全隔绝,转危为安,如下面图片所示:

关注微信公众号