精湛医术
山东省立医院神经内科——急性脑梗塞的神经血管介入诊疗技术
急性脑梗塞的神经血管介入诊疗技术,解决了以前脑部大动脉闭塞处理困难的问题,不但能减少、减轻致残,甚至可以抢救生命。该项技术在我院神经内科的成功实施,证明神经内科的血管介入诊疗水平达到国际标准,填补我院急诊脑梗塞治疗上的空白。
对于急性脑梗塞的治疗,1995年-2004年国际许多临床试验表明:发病3小时内静脉给予r-tPA有效。2008年至2013年继续进行试验表明:一定条件下,发病3-4.5小时内静脉给予r-tPA有效。而对于大动脉闭塞的急性脑梗塞,静脉溶栓效果不佳,1997年-2013年的许多血管内治疗试验,虽然对某些病人有效,但是均未得到阳性结果。2015年1月开始,新英格兰杂志相继发表了MR CLEAN、ESCAPE、EXTEND-IA等7项临床试验,结果表明:急性脑梗塞的血管内取栓、血栓抽吸试验均取得了阳性结果。这些试验方法是在静脉溶栓的同时,通过神经血管介入技术应用取栓支架或者血栓抽吸系统将堵塞脑血管的血栓取出,达到尽快开通闭塞的脑血管、快速恢复血流的目的,最大程度的挽救病人生命、降低致残程度。
急性脑梗塞的神经血管介入诊疗技术的应用,类似急性心肌梗塞的心内科介入治疗,抢救病人生命、减少减轻致残,社会影响力巨大,社会效益、经济效益显著。随着宣传的深入,该项技术会逐渐被广大人民群众认知,该项技术将来一定会成为神经内科治疗急性脑梗塞的常规介入治疗办法。
我院神经内科在急性脑梗塞静脉溶栓的基础上,孙钦建主任医师负责的脑血管病介入诊疗病区于2015年下半年开始开展急性脑梗塞的神经血管介入诊疗工作,目前已开展近30余例,大部分病人短时间内临床症状改善明显。该项技术对抢救大血管闭塞导致的重症脑梗塞病人效果显著,具有抢救生命的重要意义。
典型病例:
男性患者,51岁,以“言语不能、右侧肢体偏瘫3.5小时”入院,神经系统查体:神志清楚,完全性失语,查体不能合作,右侧上下肢体肌力2-3级。NIHHS评分=12分。
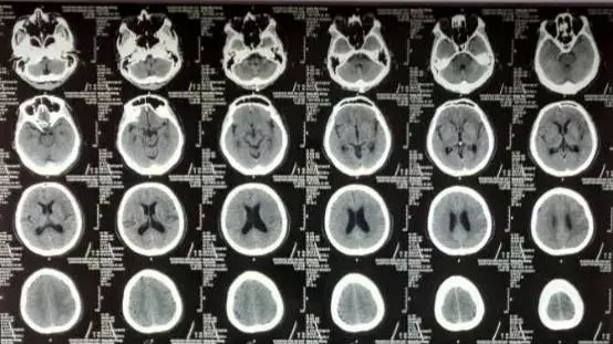
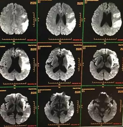
急诊颅脑CT排除出血,患者已超出静脉溶栓时间窗,予性颅脑MRI+MRA示“左侧大脑中动脉供血区大面积脑梗死,左侧大脑中动脉闭塞”。


向家属简要知情病情危重性及目前治疗方案的可选项(静脉溶栓已超时间窗,介入动脉取栓可行)。家属表示理解,签署知情同意书后紧急上台行动脉内取栓术。


术中,首先DSA造影再次印证左侧大脑中动脉闭塞,遂行动脉内支架取栓,所取出血栓如下面图片所示。

术后麻醉苏醒后查看患者:患者神志清楚,精神可,查体合作,失语基本恢复,右侧上下肢肌力4级,继续住院治疗1周,出院时患者言语清晰流利,查体合作,右侧肢体肌力基本恢复正常!
关注微信公众号