医院动态
【亚专业·解码】为衰退按下慢放键——山东第一医科大学附属省立医院神经内科痴呆与认知障碍亚专业
近日,山东第一医科大学附属省立医院(山东省立医院)神经内科痴呆与认知障碍亚专业通过多模态精准诊疗技术,成功为一名轻度阿尔茨海默病患者完成全链条诊疗及干预。经6个月随访,患者认知功能显著改善,日常生活能力下降趋势得到有效遏制。
患者两年前无明显诱因出现记忆力减退,主要表现为近期记忆障碍,如遗忘刚发生的事情、反复提出相同问题等,而远期记忆相对完好。由于早期症状不典型,未引起患者及家属重视。直至近6个月,患者症状明显加重,认知障碍逐渐累及多个领域,出现找词困难等轻度语言功能受损、执行功能下降、复杂任务处理能力减退等情况,同时日常生活能力明显下降,无法独立完成复杂家务,服药依从性降低,还伴随焦虑、易激惹等情绪与行为改变。
入院后,医生详细询问病史得知,该患者既往无脑卒中、颅脑外伤、精神疾病史,无长期酗酒经历,家族史也无特殊。体格检查及神经系统查体显示,患者神志清晰、配合检查,但存在时间定向力下降、延迟回忆明显受损、计算力减退、轻度命名困难等问题,未发现明确局灶性神经系统体征。
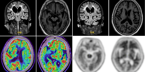
为明确诊断,痴呆与认知障碍亚专业医护人员依托人工智能辅助神经心理评估平台,对患者认知功能进行系统量化评估,结合认知谱系分析提示,患者呈现以情景记忆损害为主的海马型认知障碍模式。在排除代谢、感染、免疫及内分泌等继发性因素后,团队为患者进一步完善影像学评估,颅脑MRI提示双侧海马及颞叶萎缩;FDG-PET/CT显示双侧颞顶叶及后扣带回葡萄糖代谢减低,符合典型阿尔茨海默病代谢模式;Aβ-PET/CT检查则发现脑内弥漫性淀粉样蛋白沉积。

通过神经心理评估与多模态分子影像的整合分析,该病例完成了从临床症状到病理生物学证据支持的完整诊断链路,严格符合当前阿尔茨海默病生物标志物导向框架,最终被明确诊断为阿尔茨海默病(轻度阶段)。

明确诊断后,痴呆与认知障碍亚专业团队为患者制定了个体化综合干预策略,构建“疾病修饰治疗联合神经调控与智能康复”的多模态干预路径。依据国内外相关指南及专家共识,医护人员对患者开展抗淀粉样蛋白(Aβ)单克隆抗体治疗的规范化评估,在获取患者及家属充分知情同意后,正式启动Aβ单抗治疗,并建立标准化给药方案,同时定期进行MRI影像随访以动态监测ARIA(淀粉样蛋白相关成像异常),搭配认知量表评估体系,实现对治疗疗效与安全性的系统监测。
在此基础上,痴呆与认知障碍亚专业团队联合对症治疗及多种非药物干预手段提升治疗效果:采用经颅磁刺激技术,对患者前额叶-海马网络进行靶向调控,促进神经可塑性;应用脑机接口技术开展认知训练,通过脑信号反馈构建闭环干预模式,有效提高训练效率与患者依从性;同时依托人工智能认知康复系统,动态监测患者认知变化,持续优化干预策略,形成“评估-干预-反馈-再优化”的闭环管理体系。

经6个月随访评估,患者认知功能及精神行为症状较入院时明显改善,日常生活能力下降趋势趋于稳定,充分证明该多模态综合干预方案在延缓认知功能下降、改善临床结局方面具有良好效果。
通过标准化诊疗流程,省立医院神经内科痴呆与认知障碍亚专业已实现从临床表型识别、生物标志物分型,到疾病修饰治疗联合多模态干预的全链条管理,成功构建起一套可复制、可推广的认知障碍精准诊疗路径。目前,该诊疗路径已在该院及区域协作单位中推广应用,初步建立起区域化认知障碍诊疗协作网络,将为更多认知障碍患者带来诊疗新希望。
亚专业介绍
痴呆与认知障碍亚专业现有临床医生11名,其中主任医师2名,副主任医师4名;泰山学者1名,泰山学者青年专家3名;博导2名,硕导6名。
该亚专业病区由认知障碍专科病房、记忆门诊、神经心理评估室、认知物理治疗室、脑机接口室等不同功能单元组成,建立了痴呆与认知障碍疾病的规范化诊治流程,致力于认知障碍相关疾病的早期防治、精准诊疗与机制探索。
在学科建设方面,该亚专业于2014年被中国阿尔茨海默病协会(ADC)授予“全国优秀记忆专科门诊”,2017年获评全国十大“记忆门诊培训基地”,2022年被授予国家“核心高级认知诊疗中心”。团队主导的MIND-China项目深入探索认知障碍疾病的早期诊断方法与多模干预措施,已成为全球老年痴呆多模干预联盟五大创始项目之一。目前,团队承担并推进多项国家级及省部级科研课题,包括“2030-脑科学与类脑研究”重大项目、国家“十三五”重大研发计划、国家自然科学基金国际(地区)合作与交流项目、美国阿尔茨海默病协会临床科学家项目、国家自然科学基金项目以及山东省中西医结合项目等。此外,团队还牵头制定了我国首部《中国阿尔茨海默病一级预防指南》。


