技术引领
免开刀化解危机! 山东第一医科大学附属省立医院多学科微创方案成功为八旬老人解除复杂肠梗阻
近日,山东第一医科大学附属省立医院(山东省立医院)多学科协作,成功为一名80岁肠梗阻患者解除梗阻。患者恢复顺利,现已成功出院。本例高龄、术后、复杂肠梗阻患者的成功诊治,彰显了医院在多学科协作、微创技术应用与个体化治疗策略深度融合方面的综合实力。
一位80岁的男性患者因食用山楂形成巨大的小肠结石,引发肠梗阻。在当地医院住院治疗多日,梗阻状况仍未得到改善,病情持续恶化,医院下达了病危通知书。家属强烈要求将患者转至省立医院进一步诊治。
患者在医院急救中心就诊,胃肠外科主任医师王金申、郑春宁评估后,制定了以置入肠梗阻导管并进行药物溶石为主的保守治疗方案。消化内科主任医师李宾及护理团队连夜在胃镜与X线引导下,将导管精准放置至结石近端,引流肠液并注入碳酸氢钠溶液进行溶石。次日,患者入院接受进一步治疗。
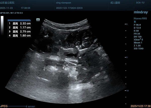
超声诊疗科主任医师刘翠红带领进修医师张修丽、相林以及规培医师、研究生等,通过胃肠超声实时动态监测,实时观察结石位置、形态变化及肠壁状况,协同调整导管位置,评估治疗效果,为治疗提供了精准的影像学依据。

经结肠梗阻导管造影术



结石变成松散两小块
治疗期间,患者对碳酸氢钠注射液反应极为敏感,出现剧烈腹痛,医疗团队应用无糖可乐以辅助溶石。由于结石松解后堵塞导管头,导致导管引流不畅,李宾主任医师多次在胃镜引导下对导管位置进行调整,保障治疗通畅。治疗第6天,患者的腹痛明显减轻。团队为患者注入香油以促进结石排出。最终,胃肠超声显示小肠结石质地变软,硬度降低,碎成三小块后经直肠顺利排出体外。当看到结石成功排出时,患者激动得热泪盈眶,说道:“谢谢你们,我终于不用开刀了,能好好吃饭、好好睡觉了!”

患者及家属给李宾主任医师赠送锦旗

患者及家属
为刘翠红主任医师赠送锦旗
秋冬时节,山东地区盛产大量山楂、柿子,导致胃结石患者数量显著增长。胃内结石可通过口服可乐、小苏打,或者采用胃镜下碎石的方法来消除。然而,一旦结石进入小肠并导致严重堵塞,引发肠梗阻,治疗就会变得异常棘手。此次治疗,展现了胃肠超声在小肠结石保守治疗中的独特价值,为部分复杂小肠结石患者提供安全、有效的非手术解决方案,充分体现了多学科协作与微创诊疗理念的价值,也为老年术后患者的治疗提供了新的参考。

