技术引领
山东第一医科大学附属省立医院成功开展高难度“TEER+TAVR一站式”微创瓣膜手术
近日,山东第一医科大学附属省立医院(山东省立医院)奥体院区心脏大血管外科联合麻醉与围术期医学科、超声医学科团队,成功开展一例高难度“TEER+TAVR一站式”微创瓣膜修复手术,救治一名同时合并二尖瓣及主动脉瓣关闭不全患者。本次手术的成功,标志着医院在复杂瓣膜病综合治疗领域实现新的突破。

患者今年68岁,入院时主诉“活动后胸闷、憋喘8年余,加重6月余”,既往高血压病史5年,胆管结石病史5月余,入院时持续胆管引流,处于极度消瘦的恶病质状态。医院超声评估提示患者二尖瓣重度反流伴后叶腱索断裂脱垂、主动脉瓣中度反流,左室节段性室壁运动不良。面对患者多瓣病变且全身状况不佳的复杂局面,心脏大血管外科、超声医学科、麻醉与围术期医学科专家团队进行了MDT讨论。
结合患者一般情况及术前心脏超声结果,心脏大血管外科主任医师王安彪、副主任医师谭琦等认为,患者一般状况可能无法耐受常规开胸瓣膜置换手术。与麻醉与围术期医学科副主任医师杨麟、主治医师曹国威等仔细商讨后,考虑为其实施经心尖微创瓣膜修复或置换手术。超声医学科主任医师朱梅等表示,由于患者术前二尖瓣重度反流合并主动脉瓣中度反流,单纯解决二尖瓣反流问题后极大可能导致主动脉瓣反流加重。最终,多学科团队达成一致:术中全程依托经食道超声(TEE)指导,经心尖通路完成二尖瓣夹合后,再行瓣膜置换,实现“一站式TEER+TAVR”治疗策略。

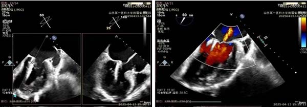
术前二尖瓣重度返流,
主动脉瓣中度返流
手术当天,杨麟、曹国威团队严密监测循环与呼吸参数,确保麻醉平稳。朱梅实时解读瓣膜解剖与反流评估,为操作提供精确导航。术中,在王安彪指导下,谭琦先经左胸小切口建立心尖通路,送入二尖瓣夹合器,通过TEE引导,精准定位于后叶反流最重区域,首次夹合即见强回声信号,瓣叶开放良好且无狭窄,仅存轻度残余反流,于是,在高难度操作下再次植入第二枚夹合器,完全消除了受累区的反流信号。经过短暂观察后,如术前手术团队所预期,在解决患者二尖瓣反流的问题后,患者左心室负担加重,主动脉瓣反流量增加至重度。

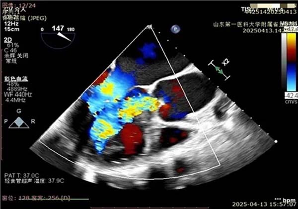
夹子精准定位捕获,二尖瓣返流明显改善

主动脉瓣返流明显增加
随后,团队迅速转换至TAVR程序。王安彪与朱梅配合,将瓣膜装载并引导至主动脉根部,通过TEE确认瓣环定位无误后,平稳释放瓣膜。超声即时显示人工瓣架固定牢靠,瓣叶开启顺畅,瓣周无间隙回声;多普勒测得瓣区最高流速225 cm/s,圧差20 mmHg,提示置换效果优异。

主动脉瓣植入,主动脉瓣返流明显改善
整个手术过程中,麻醉团队及时调整血流动力学,保证术中循环稳定。超声团队不断反馈图像,辅助术者精准操控。手术团队在不到两个小时内完成全程操作,有力缩短了患者体内导管时间与心尖通路暴露,最大程度降低了并发症风险。
术后,患者被送回心外科监护室,术中置入的人工瓣与夹合器位置稳定,循环及呼吸功能显著改善,24小时内撤除呼吸机。患者第二天神志清醒、活动能力恢复良好,术后第7天出院。患者家属对团队精湛技术与高度负责的医疗服务给予高度赞誉。
本次“TEER+TAVR一站式”微创瓣膜治疗不仅展示了医院在复杂多瓣病诊治中的技术实力,更体现了多学科协同作战、“心外—麻醉—超声”深度融合在复杂疾病治疗中的优势。未来,我院心脏大血管外科团队将持续优化此类综合策略,惠及更多复杂瓣膜疾病患者,开创高质量、一体化微创治疗新局面。

