医院动态
山东第一医科大学附属省立医院成功救治急性播散性脑脊髓炎合并多重感染重症患儿
近日,山东第一医科大学附属省立医院(山东省立医院)小儿重症医学科负责人靳有鹏教授团队成功救治一例急性播散性脑脊髓炎(ADEM)合并腺病毒、耐药支原体多重感染的危重患儿。经过两个多月的精心治疗,患儿最终痊愈出院。
8岁的欣欣(化名)生病初期仅表现为咳嗽、发热,当地按普通感冒治疗无效后,病情迅速恶化,出现意识昏迷、四肢瘫痪、呼吸衰竭等症状。家人紧急将其转入省立医院,随后被紧急转送至小儿重症医学科。
入院时,欣欣呈昏迷状态,高热,在无创呼吸机辅助呼吸下仍有呼吸困难,经皮氧饱和度仅为88%,四肢肌力均0级,腱反射消失。小儿重症医学科负责人靳有鹏教授带领团队对欣欣的病情进行了全面评估,先给予气管插管、呼吸机辅助呼吸,并积极完善相关辅助检查。颅脑及脊髓MR检查提示:双侧侧脑室周围、放射冠、基底节区、脑干及皮层下见多发斑点状、斑片状异常信号,脊髓全长肿胀。呼吸道病原学检测发现腺病毒阳性。经与小儿神经科会诊讨论后,明确诊断为急性播散性脑脊髓炎合并腺病毒及耐药支原体感染、呼吸衰竭。神经系统损伤累及范围很广,包括脑内大片区域及全脊髓,同时欣欣还存在腺病毒及耐药支原体感染。单纯腺病毒感染病死率极高,合并耐药支原体感染后,治疗难度极大,预后极其不乐观。

患儿入院时的颅脑和脊髓MR

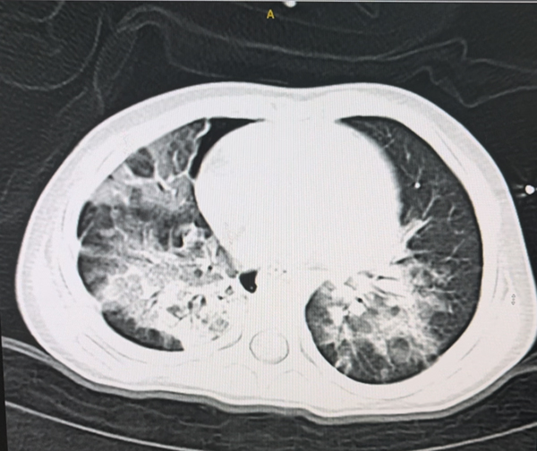
患儿入院时的胸部CT
面对重重困难,靳有鹏教授带团队迎难而上,经过综合评估和讨论后,确定了精准的治疗方案。一方面,患儿神经系统方面同时存在颅脑和脊髓的损伤:颅脑损伤范围广,影响到患儿的意识、自主呼吸功能;脊髓损伤累及到了全脊髓,患儿表现为颈部以下横贯性截瘫,颈部以下完全不能活动,感觉完全丧失,且存在尿储留。所以治疗方面需要给予大剂量丙球和激素,并且加用血浆置换,尽快清除患儿体内的致炎因子。护理团队则定时为其翻身,防止压疮发生。另一方面,欣欣的呼吸中枢及呼吸肌均受累,不能自主呼吸,且无咳嗽反射,前期肺部存在腺病毒和支原体感染,后期肺部先后合并了金黄色葡萄球菌、鲍曼不动杆菌、纹带棒状杆菌等细菌感染。需要护理人员精心照料,帮助患儿排痰,同时多次进行床旁纤支镜灌洗治疗,并依据病原学变化,及时调整抗感染治疗方案。
经过53天的艰难守护,欣欣的状况终于开始好转。她的意识逐渐恢复,可做眨眼、摇头等动作,双手及双上肢也开始活动,双下肢逐渐恢复力量。但呼吸肌力量仍弱,咳嗽反射弱,护理人员不断鼓励她咳嗽、咳痰,减少肺部痰液坠积。最终,欣欣的咳嗽越来越有力,肢体力量也逐渐恢复,能够独坐、自行排尿、自行握匙吃饭。复查的影像学结果显示,脑内病灶明显好转。住院87天后,欣欣最终痊愈出院。
省立医院小儿重症医学科是山东省首批危重儿童救治中心,也是中国医师协会儿童重症医师分会的常委单位、山东省医学会儿科分会急救学组组长单位、山东省医师协会和山东省妇幼保健协会儿童重症医师分会主委单位。该科室承担收治来自全省儿科各专业急危重症的重任,在省内率先开展儿童体外膜肺(ECMO)、床旁连续血液净化技术、人工肝等技术。对于儿童严重脓毒症、脓毒症休克、多脏器功能衰竭、重症脑炎、暴发性心肌炎、肝衰竭、各种中毒、心跳呼吸骤停、严重复合外伤、颅脑手术、肝移植手术后监护等多种急危重症的诊疗水平达省内领先、国内先进水平。

