医院动态
山东第一医科大学附属省立医院血管外科成功为一名高危肺栓塞合并下肢深静脉血栓患者进行经皮肺动脉及下肢静脉取栓术
近日,山东第一医科大学附属省立医院(山东省立医院)血管外科成功开展Tendvia经皮肺动脉取栓术,为一名高危肺栓塞合并下肢深静脉血栓的患者进行经皮肺动脉及下肢静脉取栓术。经过精心治疗,患者康复良好,已顺利出院。
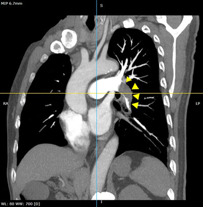
患者前期接受了牙龈癌腓骨取瓣移植术,术后卧床休息,突然出现左下肢明显肿胀,入厕后晕厥,救护车送入医院急救中心。入院时患者胸闷不适,收缩压小于100mmHg,心率增快。医院完善各项检查后进一步明确诊断为左肺大面积肺栓塞、左下肢深静脉血栓形成(混合型)。

左肺大面积肺栓塞
肺动脉栓塞( Pulmonary Embolism, PE)是指内源性或外源性栓子堵塞肺动脉引起的肺循环障碍的病理生理综合征,是临床上最凶险的急重症之一。未经治疗的肺栓塞死亡率为20%-30%(高危肺栓塞患者30天病死率达22%;中高危患者为7.7%;中低危患者为 6%),是心血管疾病中前三位的死亡原因。尽早开通阻塞血管是降低其致死、致残率的关键。
血管外科主任吴学君立刻指挥抢救,患者进入绿色通道。科室全面细致评估完成术前讨论,并与患者及家属充分沟通交流后,确定由主任医师孔祥骞、主治医师井业翔、医师曲百壮为患者进行Tendvia经皮肺动脉取栓术。该手术既通过注射器系统抽吸血块,也可以在其尖端使用三根镍钛诺网棒来中断和捕获血块,以便进行机械血栓切除术。
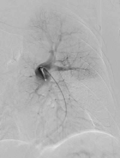
手术采用局麻的方式,经皮穿刺右股静脉,进入肺动脉造影后进一步明确诊断,左肺大面积肺栓塞。将鞘管到达左肺动脉后,应用Tendvia装置给予取栓,取出大量混合性血栓,取栓后左肺动脉血流完全恢复,血流分级达到Grade Ⅰ级,患者胸闷立即缓解。

左肺大面积肺栓塞

Tendvia取栓

取出的血栓

多角度造影示左肺血流恢复
为了预防再次肺栓塞的发生,科室同期行下腔静脉滤器植入术及左下肢Angiojet血栓清除术。应用肺动脉取栓的同一入路,右侧股静脉放置滤器后,翻山至左下肢静脉,造影明确左下肢混合性血栓,由肌间静脉延伸至髂静脉,经Angiojet吸栓后左下肢深静脉完全复通。

术前与术后左下肢静脉造影对比
术后即刻患者胸闷消失,术后左下肢肿胀明显减轻,心率减慢,血压回升。经过科室精心治疗,患者恢复顺利,已于近期出院。

术后患者左下肢肿胀明显减轻
全球每年有超过1000万肺栓塞病例(50-200/10万人),常规的抗凝和药物溶栓治疗为肺栓塞的基础治疗,可以控制轻中度PE患者症状的进展,但对大面积PE患者溶栓无法提供快速、有效的治疗,并且出血风险高,即便患者幸存,也可能由于残余血栓导致肺动脉高压(CTEPH)等后遗症,严重危害患者健康。与传统手术相比,此次手术具有创伤小、恢复快、并发症少等优点,提高了手术的安全性,缩短了患者的住院时间,展示了该技术在处理高危肺栓塞患者方面的显著优势,标志着我院开启了高危肺栓塞介入治疗的新篇章。

