医院动态
山东第一医科大学附属省立医院心内科成功开展经皮肾动脉交感神经射频消融术
近日,山东第一医科大学附属省立医院(山东省立医院)心内科成功开展了经皮肾动脉交感神经射频消融术(Renal denervation,RDN),为一名难治性高血压患者进行了介入手术降压治疗,这是RDN技术正式临床应用后国内首批应用该技术治疗原发性高血压的患者之一。
患者是一名患有高血压病十余年的46岁男性,服用三联降压药物,血压仍未达标,波动在150-160/95-100mmHg。术前,经过心内科主任医师孙永乐全面细致地评估,排除了继发性因素。与患者及家属充分沟通后,主任医师朱贵月、副主任医师张明伟组成介入手术团队为患者进行了RDN介入手术。

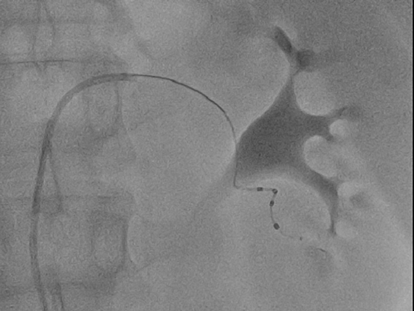
手术采用局麻+镇痛模式,用时1个半小时,穿刺右股动脉后,消融导管分别进入左右肾动脉,消融双肾动脉主干及分支共62个靶点,对肾动脉进行了全面、完整地消融,无肾动脉狭窄、夹层等并发症,手术获得圆满成功。
术后次日,患者血压降至124/81mmHg,出院前三联降压药物降为两联,且剂量较术前大幅减少,血压维持在115-130/75-85mmHg。

此次RDN手术的成功开展,为难治性高血压及药物不耐受高血压患者带来新的治疗方法,同时标志着我院开启了原发性高血压介入治疗的新篇章。

介入手术抑制肾交感神经兴奋性
可治疗高血压
全球约有10亿高血压患者,在中国约有2.45亿,其中近10%为难治性高血压,有一部分患者对药物不耐受或依从性差,严重影响高血压的达标并导致心、脑、肾等靶器官损害。目前,降压治疗方法包括改善生活方式、降压药物治疗和器械治疗。RDN作为器械治疗最主要的手段,其原理是通过射频、超声或其他能量方式作用于肾脏交感神经,以达到减弱肾脏和全身交感神经活性,从而降低血压的目的。RDN为通过改善生活方式、加强药物治疗后血压仍不可控的原发性高血压患者提供了新的治疗方案。

