科室动态
纵隔及胸腔巨大肿瘤生长17年!山东第一医科大学附属省立医院胸外科完成一例巨大纵隔及胸腔肿瘤切除手术
近日,山东第一医科大学附属省立医院(山东省立医院)胸外科彭忠民主任医师团队成功完成一例巨大纵隔及胸腔肿瘤切除手术,患者术后康复良好,顺利出院。
临沂姑娘小王年仅18岁,本应该是无忧无虑上学的年龄,却一直有一个问题困扰了她和她的父母17年,原来在她1岁那年就查出了纵隔及左侧胸腔有一巨大肿瘤,占据了几乎整个左侧胸腔。17年来,患者父母一直带着患者四处求医,但多家医院均认为手术切除十分困难,手术风险大,没能进行系统诊疗。辗转多年,患者到省立医院胸外科彭忠民主任医师门诊就诊。彭忠民主任医师仔细阅读患者病历资料,评估患者病情后随即安排患者住院。
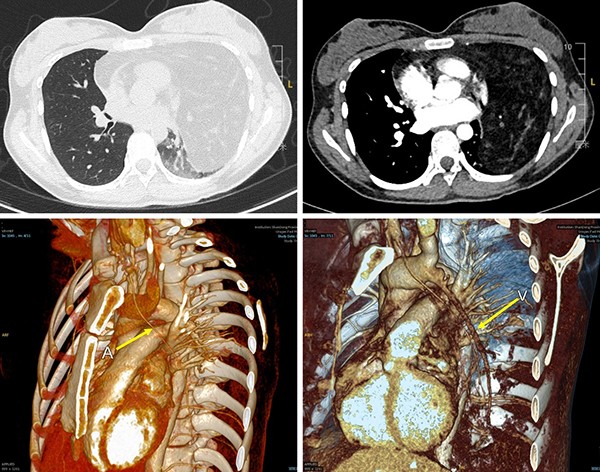
患者入院后复查胸部强化CT,结果显示前中纵隔混杂密度肿块,大部分凸向左例胸腔,最大截面接近20cm,包绕心脏、升主动脉及肺动脉等重要组织器官,左肺受压,体积缩小几不可见。同时,术前影像重建显示,肿瘤滋养动脉起自右头臂干,静脉血管回流至左无名静脉,均属两支重要血管。患者纵隔肿瘤瘤体巨大,国内外均属罕见。肿瘤消耗使患者血红蛋白、白蛋白等营养指标均低于正常值,且患者左侧肺脏长期不张、心脏长期受压,如果不尽快手术,肿瘤带来的风险将越来越高。

胸部增强CT示:前中纵隔及左侧胸腔可见巨大混杂密度肿块,最大截面约16.9x13.21cm,包绕心脏,升主动脉及肺动脉。血管重建示异常动静脉血供来源(黄色箭头指示)。
纵隔巨大肿瘤手术难度极高,术中肿瘤体积巨大导致手术操作空间极小,暴露视野差,但纵隔又是重要血管、神经最为密集的区域,稍有不慎会导致不可控制的大出血。此外,肿瘤长期压迫心肺,切除肿瘤后患者是否会有血流动力学不稳定,是否会有复张性肺水肿等一系列问题都对手术团队提出了巨大挑战。
面对患者家庭的期望以及无条件信任,让彭忠民主任医师团队下定决心挽救这个求医多年的家庭。充分完善术前准备后,彭忠民主任医师带领团队为患者施行手术治疗。
手术由彭忠民主任医师主刀,麻醉手术科李伟、栾晓丽等团队配合。术中,取胸骨正中切口,彭忠民主任医师仔细探查,精准游离显露供血动静脉,安全阻断,将肿瘤完整切除。整个肿瘤体积约28cmX21cmX30cm,重约4.5kg,手术过程顺利,术中出血仅约30ml。麻醉医师吸痰膨肺后患者左侧肺脏成功复张。
在病房护理团队的精心呵护下,患者术后复查胸片良好,顺利出院。术后科室回访,患者已回归正常学习与生活。


