医院动态
【技术创新走在前】山东第一医科大学附属省立医院成功实施经导管可降解封堵器治疗儿童先天性心脏病
近日,山东第一医科大学附属省立医院(山东省立医院)小儿心脏科韩波主任团队分别为1名室间隔缺损和1名反复头痛伴卵圆孔未闭的患儿成功实施了经导管可降解封堵器治疗室间隔缺损和卵圆孔未闭,手术效果良好,患儿已痊愈出院。这一创新技术的应用,标志着省立医院小儿心脏科在儿童先天性心脏病介入治疗领域再次取得新的突破,为广大儿童先天性心脏病患者带来了更先进的治疗手段。
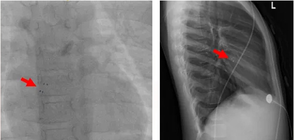
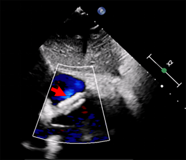
第1例手术患者为一名5岁6月、患有室间隔缺损的儿童,超声心动图提示膜周部室间隔缺损约4mm,缺损上缘距离主动脉右冠瓣无残端,右冠瓣轻微脱垂,若采用传统的金属封堵器介入封堵,术后发生心律失常、主动脉瓣返流等并发症的几率偏高。第2例手术患者为一名8岁伴反复头痛1年、患有卵圆孔未闭的儿童,经药物治疗无效,超声心动图提示卵圆孔未闭2mm。
手术在我院特聘教授、上海儿童医学中心李奋教授的指导下,由韩波主任医师、姜殿东副主任医师、伊迎春副主任医师等共同完成,术中由心脏超声科朱梅主任医师进行床旁超声心电图监测。手术过程顺利,无任何并发症发生,两名患儿术后复查良好,均已痊愈出院。

室间隔缺损封堵


卵圆孔未闭封堵
据统计,全球先天性心脏病患者人数高达1300万,中国每年新增约20万例先天性心脏病患儿。经导管介入治疗已成为室间隔缺损、房间隔缺损、动脉导管未闭等常见先天性心脏病的首选治疗方法。既往介入封堵术中植入的封堵器多为传统镍钛合金封堵器,易发生传导阻滞等术后并发症。而新型生物可降解封堵器植入人体完成封堵功能后可逐步降解,最终成为二氧化碳和水排出体外,避免了传统金属封堵器植入后永久留存于体内带来的远期并发症风险。
省立医院小儿心脏科为国家卫健委先天性心脏病介入诊疗技术培训基地,目前拥有编制床位30张,实际开放40张,年出院病人1800余人次。可开展各种先天性心脏病的介入治疗术、各种心律失常的射频消融术、起搏器植入术等儿童心脏病介入手术,年介入手术量650余台次。迄今已完成各类儿童心脏病介入手术7000余例,其中先心病介入手术5500余例,经导管射频消融术1500余例,起搏器植入术100余例,居全省龙头地位,跻身全国儿科第一方阵。


