医院动态
罕见!30厘米长的肌瘤从子宫长到心脏里 山东第一医科大学附属省立医院多学科联手成功摘除
有一种肿瘤非常善于隐藏自己,表面上看是长在心脏里边的,谁知道这只是它的“头”,不仔细检查,是很难发现它隐匿在盆腔中的“根”。近期,山东第一医科大学附属省立医院(山东省立医院)东院心外科就遇到一个“狡猾”的病例,成功完成一例子宫平滑肌瘤摘除手术,摘除的肌瘤从子宫一直长到心脏,长达30厘米。
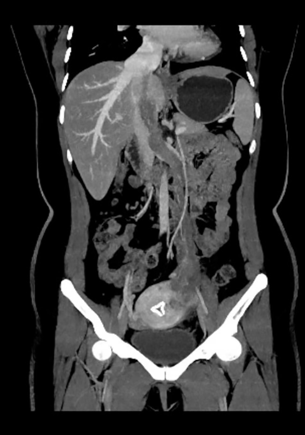
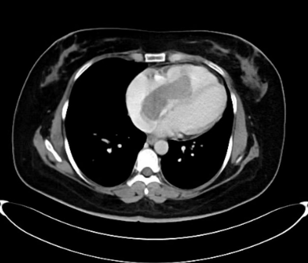
今年39岁的王女士觉得自己活动后稍有憋喘,开始还以为是变胖了,也就没在意,后来活动后憋喘的症状逐渐加重,这才到当地医院就诊。当地医院心脏彩超提示患者右心房占位,考虑黏液瘤,王女士慕名来到省立医院东院心外科。术前心脏彩超检查提示右房占位与下腔静脉关系不清,主管医师张杰敏锐的察觉到患者的肿瘤可能没有预想的那么简单,于是立即为王女士安排了妇科B超、下腔静脉CTV、肺动脉CTA检查,最终的检查结果验证了张杰医师的判断,王女士心脏里的占位不是一般的粘液瘤,影像学上更考虑血管平滑肌瘤。这是具有恶性生长行为的良性肿瘤,沿左侧子宫静脉,左侧卵巢静脉,左肾静脉近心段走行,如同藤蔓一样由下腔静脉进入右心房,随心跳而往返于右房右室之间。


这种血管平滑肌瘤横跨盆腔、腹腔、胸腔“直闯”心脏,如何手术才能将瘤体完整切除?累及范围之广,手术能否一次完成?哪个学科的医生先上台?瘤栓如何取出?如何将伤害降到最低……手术困难重重,一系列棘手的问题需要加以解决。术前,心外科主任医师王安彪、主任医师訾捷协调组织妇产科、普外科、泌尿外科、血管外科、医学影像科、麻醉手术科、输血科等多学科专家反复多次地深入讨论,制定了详细的手术方案。
手术当天,在麻醉手术科团队的保驾护航下,妇产科副主任医师李娜首先成功完整切除患者全子宫双附件,去除了因激素引起肿瘤复发的隐患。随后,普外科主任医师张小桥和血管外科主任医师董典宁逐步沿卵巢静脉向上游离肿瘤。然而肿瘤却异常“狡猾”,术中食道超声提示肿瘤正在随着心跳慢慢的往右室流出道游走,马上要阻塞右室流出道。紧急关头,心外科主任医师訾捷、主治医师张杰立即按照手术预案开胸建立体外循环……经过数小时的艰苦协作,最终,王女士长约30厘米的下腔静脉瘤栓被完整取出。

王女士顺利康复出院,近期来医院复查,恢复良好。
张杰医师提醒大家,这种血管平滑肌瘤比较少见,虽然属于良性肿瘤,但侵犯心脏的肿瘤极罕见,将危及患者生命。因此,曾有子宫肌瘤病史的育龄期妇女,特别是做过子宫肌瘤手术的患者,如果在出现胸闷、气促、下肢水肿、肝肾功能异常、肚子胀等症状时,需要及时就医,早诊断早治疗。

