科室动态
长30厘米、重12斤!山东第一医科大学附属省立医院胸外科等多学科联合救治胸腔巨大肿瘤患者
近日,山东第一医科大学附属省立医院(山东省立医院)胸外科联合多个学科成功救治1例完全占据右侧胸腔的胸腔巨大肿瘤患者,完整切除长30厘米、重12斤的肿瘤。

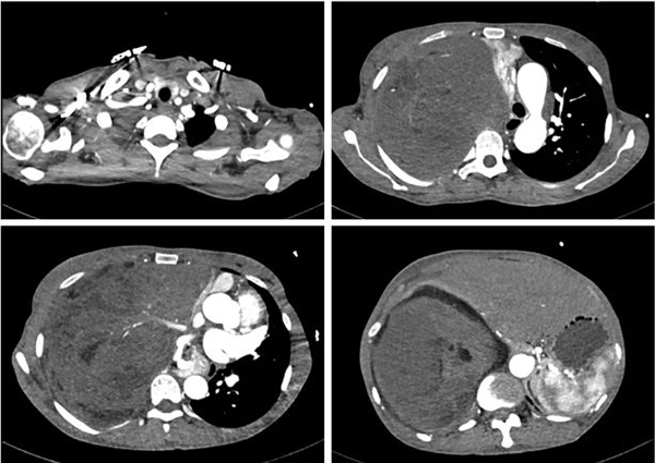
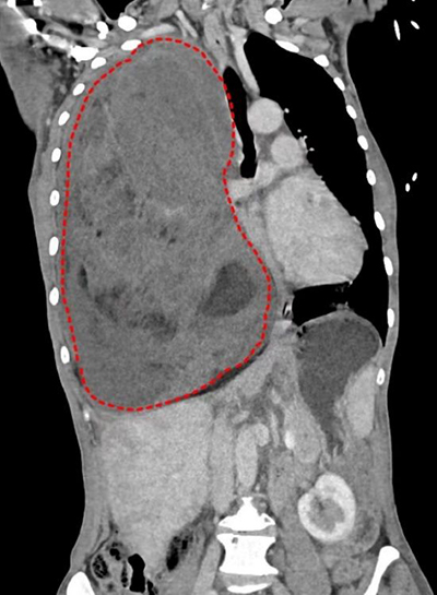
患者术前胸部CT检查
不久前,省立医院胸外科病房接到了一通来自北京的电话,电话另一头是来自患者家属绝望的求救。通过网络会诊,刘相燕主任医师详尽了解了患者的病情:半年前,新疆伊犁的玛合帕丽(化名)时常感觉胸闷气短,在当地医院检查时发现右侧胸腔巨大肿瘤。玛合帕丽辗转新疆、上海、北京等地多家医院,均未得到有效治疗,肿瘤仍在增大,憋喘症状逐渐加重。由于肿瘤的压迫,正常走路对她而言已成奢望,需要依靠轮椅进行活动。每一次呼吸都显得异常艰难,需要长期吸氧,哪怕一个简单的翻身动作,都让她面临窒息的风险……

入院CT报告提示:右侧胸腔可见巨大混杂密度肿块,大小约为30*17*17cm。(红色虚线标记范围为巨大胸腔肿瘤)
经过多方打听,玛合帕丽了解到省立医院刘相燕主任医师团队在复杂纵隔肿瘤的手术治疗方面有着丰富的经验。此前,刘相燕主任已完成多例复杂纵隔肿瘤的外科治疗,但肿瘤生长到如此体积确实罕见:患者胸部CT显示肿瘤长径达30厘米,完全占据右侧胸腔,心脏也被挤压到了一旁。患者既往病理诊断为脂肪肉瘤,经过两个周期的化疗,肿瘤体积不降反增。胸腔巨大恶性肿瘤且对化疗不敏感,日渐增长的肿瘤导致患者病情继续恶化,随时可能有生命危险,手术切除成为当前治疗的唯一方法。与此同时,手术存在巨大的风险:肿瘤体积巨大导致手术操作空间极小、肿瘤血供丰富且侵袭性强,稍有不慎会导致不可控制的大出血、肿瘤长期压迫导致心脏移位,一旦肿瘤切除可能会影响血液循环稳定甚至心跳骤停……一系列的风险对手术团队提出了巨大挑战。但患者面对疾病的痛苦和绝望,以及家属对团队的无条件信任,让刘相燕主任医师团队下定决心挽救这个濒临破碎的家庭。
如此复杂困难的手术,仅靠一己之力很难完成。胸外科团队充分利用医院多学科诊疗综合优势,邀请心外科、麻醉手术科、影像科、肿瘤科、重症医学科等多个科室的专家会诊,共同为玛合帕丽制定治疗方案。


胸外科团队邀请相关科室进行多学科会诊并制定手术方案
由于肿瘤压迫导致进食减少以及恶性肿瘤的长期消耗,玛合帕丽术前的身体状况极差,体重较发病前下降近30斤,凝血功能紊乱,白蛋白、血红蛋白均处于较低水平……胸外科团队高度重视,术前予以营养支持,纠正凝血功能等治疗。经过充分的术前准备,手术当天,麻醉手术科专家为玛合帕丽实施麻醉,维持患者生命体征平稳;心外科专家行股动静脉准备,以便随时建立体外循环,为患者手术安全保驾护航;护理团队紧密配合,确保手术有条不紊进行。
玛合帕丽的手术由刘相燕主任医师主刀,术中充分游离肿瘤后发现肿瘤根部源自右肺上叶支气管、中间支气管,并且侵及叶间动脉。为实现根治性切除,遂打开心包处理右肺血管,同期行右全肺切除。手术进行的非常顺利,仅用时60多分钟,30厘米的肿瘤被完整切除,重量达12斤之多。
肿瘤完整取出后,玛合帕丽的血压出现下降,药物控制效果不佳,心外科团队立刻为其建立体外循环。随后,在麻醉医师与心外医师共同努力下,玛合帕丽的血压逐渐回升并保持平稳。


手术团队紧密配合,确保手术顺利完成
术后,玛合帕丽转入重症监护室,在医师及护理团队的治疗下,手术当天即脱离呼吸机,3天后顺利回到普通病房。胸外科病房护理团队的精心护理,也让远在异乡的玛合帕丽感受到了家的温暖。“因为你们,我爱上了济南这座城市。”玛合帕丽如是说。
术后病理诊断与术前一致:右侧胸腔巨大肿物为脂肪肉瘤。目前玛合帕丽已顺利出院,不需要再依靠吸氧和轮椅,相信很快就能回归正常的工作和生活。

患者术后病理报告

出院前患者和家属送上锦旗,
向刘相燕主任(左六)及团队致谢
刘相燕主任医师表示,省立医院胸外科是省级重点科室,在局部晚期肺癌的扩大切除、肺结节精准诊治、疑难纵隔疾病的诊断及外科治疗、肺癌/食管癌以手术为主的综合治疗等领域长期保持省内领先地位,其中部分领域居国内领先。在日常接诊的患者中,有相当一部分是疑难复杂病例。这次玛合帕丽的多学科联合救治,也是医院综合实力的体现。今后,我们将继续依托医院强大的综合实力,以多学科联合诊疗的方式,为更多疑难病患提供优质的医疗服务。

