医院动态
我院心外科等多学科团队救治案例荣获山东省医学会疑难急危重病例诊治奖一等奖及三等奖
近期,2023年度山东省医学会青年科技奖、新技术奖、疑难急危重病例诊治奖获奖项目公布,山东第一医科大学附属省立医院(山东省立医院)心外科王正军主任团队联合胃肠外科、心脏超声科、麻醉手术科等科室专家开展的“急症TAVR+坏死肠管切除+肠吻合术救治老年重度主动脉瓣狭窄合并绞窄疝患者一例”救治案例,荣获山东省医学会疑难急危重病例诊治奖一等奖。心外科张海洲主任医师团队联合产科、麻醉手术科、心脏超声科、新生儿科等科室专家开展的“成功抢救妊娠晚期合并左心房巨大占位病变及心源性休克患者一例”救治案例,荣获山东省医学会疑难急危重病例诊治奖三等奖。
案例一
王正军主任医师团队救治的患者是一位74岁老年女性,因出现端坐呼吸、少尿等症状,于当地医院就诊检查发现主动脉瓣重度狭窄伴有关闭不全,心功能不全,随时有猝死风险。患者家属经多方了解得知心外科王正军主任医师团队在心脏瓣膜病的治疗上有着丰富的经验和深入的研究,遂来院就诊。在问诊时,王正军主任医师团队发现患者有呕吐、腹痛,查体发现右侧腹股沟区有一8*6cm大小包块,经过各项临床检查,患者被诊断为主动脉瓣重度狭窄伴有关闭不全,急性心力衰竭、嵌顿疝。
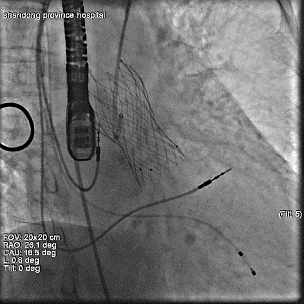
主动脉瓣狭窄的典型症状包括呼吸困难、心绞痛以及晕厥,患有该疾病者也会经历一段较长的无症状期。在该阶段,猝死的风险性很低,但一旦身体出现相应症状,就意味着病情变得较为严重,而且此时病情发展速度也非常快,如果不及时采用手术进行治疗,五年平均生存率只有20%。患者急性心力衰竭,病情危重,随时有恶化的可能,并且嵌顿疝极有可能引起肠坏死,危及患者的生命安全,急需手术治疗。以往的主动脉瓣狭窄患者需要接受开胸体外循环下的主动脉瓣置换术,但考虑到患者高龄,心功能差,合并症多,王正军主任医师团队联合胃肠外科专家团队等共同制定了详细缜密的手术方案,选择了不需要开胸、建立体外循环、创伤小的经导管主动脉瓣置入术(TAVR术),由石玉龙主任医师团队完成对疝的手术治疗。
心外科王正军主任医师TAVR团队首先要为患者实施TAVR手术,患者因为急性失代偿性的心力衰竭,无法完成术前相关的CT检查,这增加术中的不确定性。面对重重挑战,在心外科团队与心脏超声科宋家光副主任医师以及麻醉手术科李伟副主任医师的配合下,顺利完成TAVR手术,随后由胃肠外科石玉龙主任医师团队对疝进行修补,术中见疝囊内有肠管嵌顿,肠管缺血坏死,将坏死肠管进行切除,行肠管切除术和肠管吻合术,随后闭合疝环,手术顺利结束。术后心脏超声提示瓣膜状态良好,狭窄解除,之后患者恢复良好后出院。
TAVR手术的开展让高龄、合并症多、心功能差、不能耐受开胸体外循环手术的患者重获新生。省立医院心外科是省内率先开展TAVR手术的科室之一,在心脏瓣膜病危急重症的诊治中有着丰富的临床经验和良好的患者声誉。本例TAVR手术联合肠管切除术和肠管吻合术的成功完成,体现了心外科联合团队高超的手术水平和团队配合,未来将有更多患者将从中获益,标志着我院心外科在心脏瓣膜介入治疗方面再上新台阶。

图一 术中介入瓣膜释放成功

图二 获奖证书
案例二
张海洲主任医师团队救治的患者是一位42岁的中年产妇。患者病情危重,入院后复查心脏彩超发现左房内巨大肿瘤(左房粘液瘤可能大,最大径超过6cm),合并肺循环高压(收缩压高达68mmHg)及三尖瓣中度反流。患者为高龄产妇,合并左房肿瘤,三尖瓣反流,出现严重急性左心衰和呼吸功能不全,且病情持续加重,随时对产妇和胎儿构成生命威胁。
张海洲主任医师立即联系组织多学科会诊,联合产科、麻醉手术科、新生儿科等团队开展救治。多学科会诊建议立即在全麻下行心脏手术与剖宫产手术。术前患者出现呼吸循环衰竭征象,极度呼吸困难,全身紫绀,经皮血氧饱和度不足80%,血压进行性下降至85/45mmHg,尿少并代谢性酸中毒,胎动明显减弱,随时有出现心源性休克或心跳呼吸骤停的危险,危及产妇及患儿生命。心外科、产科、麻醉手术科、心脏超声科等科室组成的救治小组通力协作,立刻展开抢救,麻醉手术科邢翠燕主任医师对患者采取半卧位麻醉成功后,产科周宇副主任医师成功实施子宫下段剖宫产术+双侧子宫动脉上行支结扎术,心外科张海洲主任医师团队成功实施全麻体外循环下左房占位切除+三尖瓣成形术。整个手术过程中由心脏超声科朱梅主任医师和牟慧珺副主任医师为患者实施经食道心脏超声检测为手术保驾护航。手术顺利完成,患者母子平安。术后患者转回心外科重症监护室,在经过4日精心治疗后恢复良好,转回普通病房并在术后2周顺利出院。
本例患者抢救难度系数大,麻醉手术、超声及重症监护过程复杂、技术要求高,多学科团队需克服种种困难、密切合作。本次成功救治体现了我院在多学科协作救治高龄产妇合并严重心脏病领域已达国际先进、国内领先水平。

图三 多学科团队成功实施联合手术

图四 获奖证书

