医院动态
成功恢复了容貌!我院口腔颌面外科成功救治严重外伤导致复杂罕见面型损毁患者
近期,山东第一医科大学附属省立医院(山东省立医院)进行了2023年度技术创新奖和重大抢救奖评选。为让社会大众更深入、更精准地认识医院优秀科室,展现医院近年来疑难复杂疾病救治能力和医疗技术水平的进步,让患者及家属享受到更加优质、高效、快捷的诊疗服务,医院将陆续推送相关获奖案例。
近期,我院口腔颌面外科成功抢救一例严重外伤导致复杂罕见面型损毁的患者。该患者因伤造成颌面部大面积不规则挫裂伤及颌骨粉碎性骨折,并伴有软硬组织缺损,经我院专家及时抢救以及二期修复重建手术,患者最终转危为安并成功挽救了面型,恢复了容貌。
患者为60岁女性,不幸被“大铁门”砸伤面部,因当地治疗条件有限,遂由120送至我院口腔科急诊。口腔颌面外科周伟副主任医师检查发现患者颌面部大面积不规则挫裂伤,下颌软组织掀开,仅左侧极少量组织与面部相连,同时伴有软硬组织缺损;上下颌骨粉碎性骨折,部分骨块伴随颌面部软组织、牙齿一同垂落至颈部,半游离于口外;口内大量血凝块,结构显示不清,创面有数个活动性出血点。CT检查显示:上下颌骨多发粉碎性骨折并下颌骨体部分骨质移位、周围软组织损伤CT表现;肺部挫伤。通过检查还发现患者意识淡漠,憋喘症状,四肢末端苍白,贫血貌明显,呼吸心率快、血压偏低,已出现失血性休克早期表现。
在刘俊杰主任医师指挥下,周伟副主任医师带领医护团队在创伤抢救室立即解除患者因舌后坠引起的呼吸道梗阻,并给予纱布敷料填塞等止血措施。考虑患者伤后已超过2小时,失血量大,紧急调配血液制品,给予输血、补液扩容等积极抗休克治疗。同时成立以口腔颌面外科为主的多学科急救小组,快速全面评估了患者伤情,制定出合理的治疗方案,讨论决定采用分期手术,逐步破解救治过程中的各项难点,首先进行一期急症清创缝合。
医护人员第一时间开通绿色通道,启动急危重症创伤救治应急预案,迅速完成了手术前准备工作,联系好手术室后急症推入手术间,麻醉插管在全麻下行“颌骨骨折切开复位内固定术及颌面部裂伤清创缝合术”。急症清创过程中,刘俊杰主任医师、周伟副主任医师以下颌骨重建为基础,以咬合关系为参照标准对粉碎的下颌骨进行了功能性复位。清创及暴露骨面时动作小心细致,在可以完成内固定的前提下,尽量少剥离骨膜,保证了修复后骨块的血供,最大程度地减少了骨坏死的发生。在复位下颌骨粉碎性骨折时,尽量保留了较大的骨块,将其逐一拼凑,维持了修复后骨的完整性,重建了上下颌骨原有的外形及弧度。同时将大面积撕裂的软组织进行了彻底清创及认真仔细的对位缝合,患者颜面部形态基本恢复。术中为补充血容量,医护团队为患者进行多次输血。手术历时5个半小时,在医护团队的共同努力下,患者术后血压明显回升,生命体征稳定,护送至重症医学科继续监护治疗,给予控制感染、输血、改善微循环药物等措施。术后患者颏部皮肤颜色由暗逐渐转为正常。在医护人员的精心治疗及护理下,患者病情趋于稳定,最终痊愈出院。

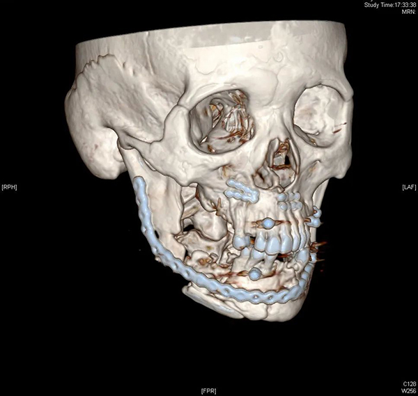
外伤后CT片

第一次骨折术后CT片
医院治疗团队为了减少患者痛苦,缩短治疗时间,减少创伤和经济负担,经过充分讨论后决定在一期手术后4个月进行二期颌骨缺损修复重建手术,将死骨清创和植骨修复在感染得到了有效控制后早期同步进行。
治疗团队为此进行了充分的术前准备,患者再次入院后,在全麻下行“下颌骨缺损血管化腓骨肌皮瓣修复术”。周伟副主任医师、刘俊杰主任医师术中仔细操作,彻底清除了右下颌骨死骨,重建钛板进行稳定的固位,恢复了患者的咬合关系。周伟副主任医师制备了血管化腓骨肌皮瓣,移植颌面部塑形后熟练地在显微镜下精密操作进行血管吻合,同期修复了颌骨及软组织缺损。术后为患者进行了有效的抗感染治疗,确保了感染区腓骨移植的成功。患者术后伤口愈合良好,患者对面型恢复满意。
严重创伤导致的颌面部骨及软组织广泛破坏,面型毁损是临床上极少遇到的一类急危重症,国内外罕有报道。早期清创修复难度高,手术成功率低,易造成颌面部缺损及畸形的不良后果,影响患者面部完整性。而创伤后颌骨骨髓炎的治疗是一个复杂而长期的过程,感染慢性化可导致炎症反复发作。尤其是发生继发的颌骨骨坏死及骨缺损的患者,是临床上很棘手的一类问题,需要以骨及软组织重建为主的手术治疗,十分考验治疗团队面对复杂问题的临床经验和协作能力。

手术台上照片
此次严重外伤导致复杂罕见面型损毁患者的成功抢救,展现了我院口腔颌面外科在颌面部创伤治疗领域丰富的经验和精湛的医术,得益于多学科的通力协作,充分体现了我院的应急救治能力和抢救水平。医护人员以高度的责任心和高水平的急危重症抢救能力与时间赛跑,拯救了患者的生命,重建了患者的面型,再一次践行了医者救死扶伤的神圣职责。

