医院动态
山东第一医科大学附属省立医院成功完成一例胎盘绒毛膜血管瘤射频消融术
近日,山东第一医科大学附属省立医院(山东省立医院)产科王谢桐教授团队成功完成一例胎盘绒毛膜血管瘤射频消融术。
2023年10月24日,一名27+3周妊娠孕妇在当地医院超声检查时发现胎盘绒毛膜血管瘤,大小5.7cmX3.3cmX4.1cm,随后转入省立医院就诊。医院超声复查瘤体大小为6.7cmX3.6cmX6.1cm,合并羊水过多,且胎儿大脑中动脉PSV增高(57.3cm/s),提示胎儿已出现严重贫血。若不及时手术治疗,将导致严重的不良结局,甚至胎儿宫内死亡。王谢桐教授组织胎儿医学团队专家进行细致讨论,并与患者及家属反复沟通后,决定为该孕妇实施超声引导下胎盘绒毛膜血管瘤射频消融术+胎儿脐血管穿刺术+羊水减量术。这是改善围产儿预后的最佳方案,但手术风险高、难度大。术前详细检查,孕妇身体各项指标未见明显异常、符合手术要求。
完成紧急新技术申报及重大手术审批后,2023年10月25日,王谢桐教授带领胎儿医学团队,术前再次进行超声检查确定手术路径,在王玉立主治医师超声引导下,产科李磊主任医师操作进行胎盘绒毛膜血管瘤射频消融术,经过3个循环将瘤体供血血流完全阻断,然后抽取脐带血1ml查胎儿血常规,并羊水减量1900ml。术后2天,孕妇各项指标未见异常,胎儿的贫血情况得到了明显改善,顺利出院。

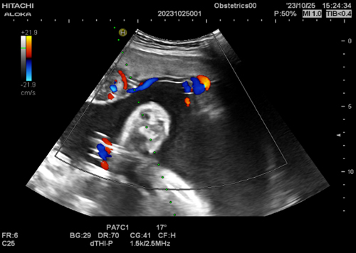
胎盘绒毛膜血管瘤
射频消融术前供血血流情况

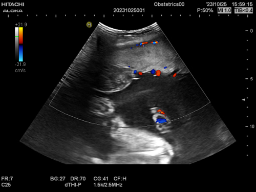
胎盘绒毛膜血管瘤
射频消融术后供血血流情况
对于孕妇来讲,手术成功只是完成了万里长征第一步,术后还可能发生胎儿贫血复发、感染、胎膜早破、早产等诸多可能。孕期管理难度大、风险高,因此产科团队为其制定了详细的门诊随访计划,并有效落实。
2023年12月25日,超声检查结果示胎儿大脑中动脉PSV再次增高,胎儿贫血不能排除。胎儿医学团队高度重视,考虑此时孕妇已36+2周妊娠,胎儿已相对成熟,决定剖宫产终止妊娠。孕妇顺利分娩一名健康婴儿,体重3840g,一般状况好,转新生儿科观察、治疗。产妇及新生儿分别于2023年12月31日及2024年1月9日顺利出院。

王谢桐教授介绍,胎盘绒毛膜血管瘤射频消融术具有创伤小、效果确切,延长孕周时间长等优势。但手术风险高、难度大,目前国内仅有少数胎儿医学中心可以开展。省立医院是我省最早依靠自身技术力量、独立开展胎盘绒毛膜血管瘤消融术的单位。这次手术又一次实现省内“零”的突破。

王谢桐教授及胎儿医学团队
在院领导及相关部门支持下,在兄弟科室协助下,王谢桐教授带领省立医院产科依托医院雄厚的综合实力,不忘初心,砥砺前行,在复杂性双胎管理及胎儿宫内治疗等领域屡创佳绩,具有重要影响力。

