医院动态
生死一线!山东第一医科大学附属省立医院心内科急诊TAVR挽救终末期重度主动脉瓣狭窄患者生命
近日,山东第一医科大学附属省立医院(山东省立医院)心内科实施急诊经导管主动脉瓣置换术(TAVR),成功救治了一例终末期重度主动脉瓣狭窄患者。
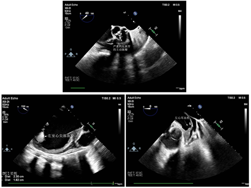
62岁的黄阿姨患重度主动脉瓣狭窄,近半年反复胸闷、憋喘、不能平卧,多次住院药物治疗,心衰始终难以纠正,生活质量极差,时刻面临着死亡的威胁。1个月前,黄阿姨到省立医院就诊,超声心动图显示LVEF仅20%,外科手术风险极高,TAVR成为最佳的手术选择。但黄阿姨左心耳及左心室存在血栓,尤其是左室心尖部的2.3*1.8cm的附壁血栓,在实施TAVR过程中一旦脱落,可能造成致命的血栓栓塞事件。心内科心衰团队为黄阿姨制定了周密的治疗方案,经过半个月的优化药物治疗,黄阿姨心功能改善得以出院,期待继续抗凝治疗后患者心腔血栓能够消失,择期入院行TAVR。

计划赶不上变化,出院半个月,黄阿姨感冒后心衰急性加重,来到东院心内科病房时已是全身浮肿、四肢湿冷、一息尚存,急诊TAVR刻不容缓。在心内科主任苑海涛教授组织协调下,一方面心衰团队积极纠正患者心源性休克,为准备手术争取时间;另一方面王勇主任医师带领TAVR团队联合心外科、麻醉手术科、超声医学科、ICU等科室商讨手术方案与细节。黄阿姨心功能极差,术中循环崩溃的风险很高,心腔内血栓飘飘欲坠更是增加了手术的风险与难度,国际国内鲜有左心室血栓急诊TAVR的经验可以参考,这绝对是一台极具挑战的抢救性手术!
急诊TAVR手术往往是生死一瞬间,任何疏漏都可能造成致命后果。团队就术前准备、可能出现的风险以及并发症的预防处理都进行了细致的讨论,因为黄阿姨家里经济条件不佳,团队在安全实施手术的前提下最大程度减少患者负担的费用,就连加硬导丝头端如何塑形以减少对血栓的干扰这样的细节,团队都一一考虑到位。

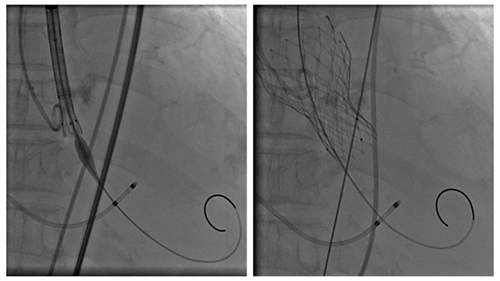
狭路相逢勇者胜!6月29日下午,黄阿姨在东院复合手术室进行手术。全麻后,黄阿姨出现了明显的循环波动,王萍主任医师、王洪乾主治医师、张祎医师组成的麻醉团队精准预判并及时调整血管活性药物,使黄阿姨血流动力学迅速趋于平稳。心内科王勇主任医师带领李少华副主任医师、张明伟副主任医师组成的TAVR手术团队快速完成了临时起搏器置入及冠脉造影;心外科李勇主任医师、孙翔飞主治医师游离右侧腋动脉、股静脉插管建立体外循环,焦齐副主任医师负责转机维持术中循环稳定;在没有术前主动脉CTA做参考情况下,超声医学科李巧副主任医师术中实时超声引导,心内科TAVR手术团队选择右股动脉入路,结合超声与主动脉根部造影,明确了最佳体位,完成导丝跨瓣、球囊预扩以及最终的瓣膜释放。整个手术过程一气呵成,体外循环顺利停机,无明显并发症,最担心的左心室血栓也“安分守己”,见证着手术的成功。
黄阿姨术后转入心外监护室,术后1小时苏醒,12小时撤离呼吸机,19小时转回心内科病房,术后8天出院。

黄阿姨拔出气管插管后微笑着说的第一句话:“我还活着,我太高兴了!”参与救治的所有医务人员的心情同样激动万分。打破了常规、挑战了极限,挽救了一条鲜活地生命,这是医务人员最值得骄傲的荣光!
心内科TAVR团队组建5年来,始终秉承患者利益第一位的原则,稳扎稳打、稳中求进、进中突破,一次次成功的急诊TAVR是过硬的技术积累和坚定的救死扶伤信念的写照。


