News
[Technological Innovation Ahead] Shandong Provincial Hospital Affiliated to Shandong First Medical University Completed the Implantation of a Double-chamber Anti-nuclear Magnetic Pacemaker for a Child with Left Bundle Branch Pacing
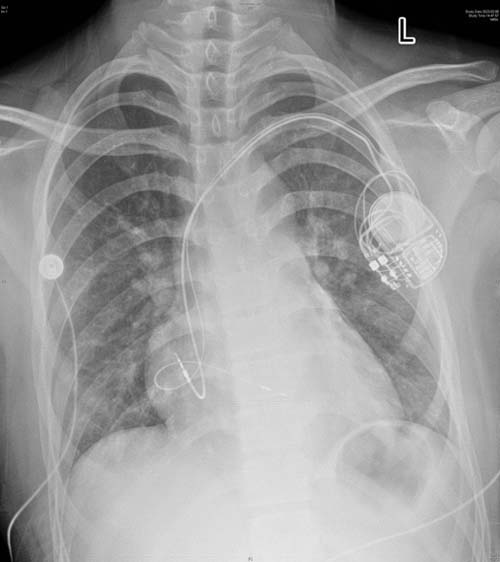
On February 7, Professor Han Bo, Director of Pediatrics and Director of Department of Pediatric Cardiology at Shandong Provincial Hospital Affiliated to Shandong First Medical University (Shandong Provincial Hospital), led the team successfully implant the first case of a 3.0T dual-chamber anti-nuclear magnetic permanent pacemaker with left bundle branch pacing in Shandong Province for a 13-year-old child.
The child was found to has cardiac dilatation with complete left bundle branch block upon birth, and developed into grade III atrioventricular block 7 years ago, with a 24-hour average heart rate of 41 beats/min and a significantly enlarged left ventricle, urgently needing implantation of a permanent cardiac pacemaker. On the afternoon of February 6, all medical staff in the Department of Pediatric Cardiology held pre-operative discussions and made adequate preoperative preparations for the child. On the morning of February 7, Professor Han Bo successfully performed the surgery on the child in the Interventional Diagnosis and Treatment Center, using the left bundle branch pacing, which is more in line with the child’s physiological characteristics. After test, the pacemaker functioned well, and the child returned to the ward safely.
Currently, ordinary pacemakers commonly used in clinical practice cannot perform magnetic resonance imaging (MRI) examination, which may cause pacemaker failure, induce severe arrhythmias, damage to the cardiacmuscle by the end of the heating electrode wire, and even cause myocardial perforation. After implanting an anti-nuclear magnetic pacemaker, the child can perform an MRI examination at any time without worries. Before performing an MRI examination, the child only needs to set the pacemaker to the MRI examination mode. After the examination, program the pacemaker to the original mode.
Left bundle branch pacing is a new pacing technique created by the Chinese scholar Professor Huang Weijian in 2017. This technique is to rotate the ventricular pacing electrode through the right interventricular septum side to the left interventricular septum side under the endocardium via vein. During pacing, the left bundle branch area can be captured to quickly excite the ventricular muscle to ensur the synchronous contraction of the left ventricle. is guaranteed,and the pacing QRS wave is narrow. and the locally abundant myocardium provides safe backup pacing, so that the pacing parameters are superior for safety and stability in the long term. This approach can correct left bundle branch block. In addition to cardiac pacing function, using a dual-chamber anti-nuclear magnetic pacemaker and left bundle branch pacing technology is also beneficial to improving cardiac function, benefiting the child a lot.


Under the leadership of Professor Han Bo, the Department of Pediatric Cardiology at Shandong Provincial Hospital, took the lead in conducting pediatric pacemaker implantation to treat complete atrioventricular block and pathological sinus node syndrome in Shandong Province in 2004, took the lead in implanting a dual-chamber permanent pacemaker in children in Shandong Province in 2006, completed the first ICD implantation in children in Shandong Province in 2018, and completed the first permanent epicardium pacemaker implantation in children in Shandong Province in the same year. So far, it has completed more than 6,000 cases of pediatric cardiac intervention surgeries in various children, including more than 80 cases of pediatric pacemaker implantation. It is the department with the earliest, largest variety and quantity and best quality of pediatric cardiac interventional surgery in Shandong Province, and ranks among the advanced in the country. This successful implantation of a dual-chamber anti-nuclear magnetic pacemaker of the left bundle branch pacing marks a new level in pediatric cardiology in terms of pacemaker implantation technology.
