医院动态
左肾肿瘤长至下腔静脉 山东第一医科大学附属省立医院多学科协作切除左肾巨大肿瘤合并下腔静脉级癌栓
近日,山东第一医科大学附属省立医院(山东省立医院)泌尿外科与多学科协作,完成“腹腔镜左肾根治性切除+开放性左肾静脉癌栓、下腔静脉癌栓切除术及下腔静脉部分切除术”,切除左肾巨大肿瘤合并下腔静脉级癌栓,患者顺利康复出院。
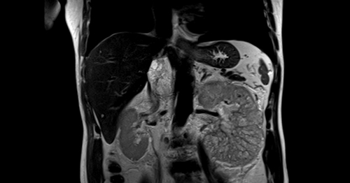
63岁王老伯已退休颐养天年,近期被持续十余天的肉眼可见血尿所困扰,而且常感觉浑身乏力。在当地医院就诊,被诊断为左肾癌,而且肿瘤已经沿着左肾静脉长至下腔静脉,形成了多发癌栓。王老伯辗转省内多家医院就诊,最终转到省立医院泌尿微创二科夏庆华教授团队处。科室完善肾脏强化MR平扫+动态增强检查,显示为左肾恶性肿瘤并下腔静脉癌栓。

术前MRI示左肾恶性肿瘤并下腔静脉癌栓
王老伯所罹患的肾癌是泌尿系统常见的恶性肿瘤,发病率位居第二位,占成人恶性肿瘤的2%-3%。肾癌发展到晚期时肿瘤可能长入肾脏静脉,甚至是更大的下腔静脉,这些长入静脉内的肿瘤就被称为“癌栓”。结合影像学资料,术前诊断为左肾肿瘤并癌栓(cT3cNxMx,梅奥分级III级)。肾癌合并下腔静脉癌栓手术是泌尿外科最复杂手术之一,手术风险巨大,面临手术中大出血、瘤栓脱落导致肺栓塞可能,一旦癌栓脱落游走至肺、心脏导致肺栓塞、心梗,将可能瞬间致命,被誉为是泌尿外科手术中“皇冠上的明珠”。
王老伯年过花甲,且存在持续性血尿,身体处于贫血状态,肿瘤体积大、癌栓达到肝内高度,病情复杂危重。科室高度重视,集中科室精干力量,成立了以夏庆华主任医师为组长,熊晖主任医师、曲华伟副主任医师、陈友根副主任医师为成员的治疗小组,并组织围手术期相关的麻醉科、肝胆外科、心内科、重症医学科、医学影像科等多个学科的专家进行多学科综合会诊(MDT)。治疗小组结合国内外的治疗经验,制定了围手术期的治疗与护理方案。

手术治疗小组术前讨论情况
以往类似手术,需要在患者上腹部左右两侧切口才能完成手术,左侧切口切除左肾,右侧切口切除癌栓。为了减少患者创伤,治疗小组经过术前反复讨论,决定首先采取腹腔镜技术,经腹腔入路切除左肾及输尿管,避免左侧腹部切口,减少患者创伤,然后采用平卧位开放行下腔静脉癌栓切除术及下腔静脉部分切除术。术中,治疗小组邀请东院肝胆外科朱化强副主任医师台上会诊,采用背馱式肝移植翻肝术,充分游离暴露肝门静脉、下腔静脉、腹主动脉等重要血管结构,依次阻断下腔静脉远端、右肾静脉、第一肝门、第二肝门,在阻断后切开下腔静脉后进行取栓。术中,治疗小组发现部分癌栓已经侵犯下腔静脉管壁,将受侵犯的下腔静脉管壁一并切除,顺利取出下腔静脉内的所有癌栓。依次解除血管阻断后,王老伯的血流动力学稳定。手术共历时7小时,顺利完整切除整个左侧肾脏及全部癌栓,没有癌栓脱落。

夏庆华教授团队合影
在外科快速康复理念的指导下,王老伯术后第二天即恢复饮食,并在术后尽早活动。在医务人员的精心护理下,王老伯在术后七天即顺利出院。
“省立医院夏庆华教授团队长期致力于肾癌的微创治疗临床工作,此次高难度手术的成功实施充分展示我院泌尿外科团队在处理疑难复杂肾脏肿瘤的高超的医疗技术和默契的团队配合,凸显了省立医院作为一家大型综合性教学医院在处理疑难复杂手术时,开展多学科协作配合的优越性及重要性。”熊晖主任医师介绍说。

