医院动态
【学术会议】山东第一医科大学附属省立医院承办山东省医学会类器官分会第一届委员会学术会议
近日,由山东省医学会主办、山东第一医科大学附属省立医院(山东省立医院)承办的山东省医学会类器官分会第一届委员会学术会议采取线上和线下相结合的方式进行。中国工程院院士、山东省肿瘤医院院长于金明,省立医院党委委员、副院长李乐平,山东省医学会秘书长张林、副秘书长岳冬丽等参加开幕式并致辞。于金明院士担任山东省医学会类器官分会名誉主任委员,省立医院肿瘤微创综合治疗科主任宋伟当选类器官分会主任委员,潍坊市人民医院于国华、青岛市中心医院马学真、青岛大学附属医院邱文生等当选副主任委员。

宋伟主任委员主持类器官学术交流会议。复旦大学放射医学研究所徐小雅教授作了“活检肠癌类器官体外敏感性与临床预后相关性研究”的报告,山东大学齐鲁医学院胡慧丽教授作了“三维类器官及其应用”的报告,向参会专家汇报了类器官在精准医学、再生医学、疾病建模、毒理学研究和新药研发等方面的应用。

类器官是来源于多能干细胞的微型体外器官模型,能高度重现来源组织的结构、生理特征和遗传特征,是目前人类生物学和疾病研究的最佳“替身”。2009年类器官被Hans Clevers教授团队首次培育成功,2013年被《Science》评为十大科技突破之一,2017年又被《Nature Method》评为生命科学领域的年度技术。在干细胞与发育、再生医学、疾病研究、药物开发和精准医疗等多个领域拥有广泛的应用前景。
宋伟主任委员进行会议总结表示,山东省医学会类器官分会是全国首个成立的类器官学术团体,标志着山东省成为继北京、上海、广州以外的中国第四大类器官研究集群。山东省医学会类器官分会作为从事类器官的研究者学习、交流和协作的学术平台,将为省内同仁的学术活动提供全方位的支持,为类器官工作高质量发展做出积极贡献。

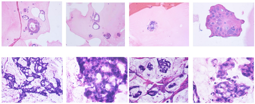
常见肿瘤类器官镜下图

类器官与肿瘤组织NGS结果对比

类器官与肿瘤组织病理形态学对比

类器官与肿瘤组织免疫组化关键指标对比
省立医院肿瘤微创综合治疗科在宋伟主任带领下,在类器官领域开展了系列研究,目前已建立类器官专用实验室1间,配备生物安全柜、低温高速离心机、荧光倒置显微镜、恒温细胞培养箱等实验相关设备,拥有科研人员10余人。运用临床手术切除、穿刺活检、内镜钳取、体液收集等多种方式获取肿瘤细胞及组织,开展食管癌、胃癌、结直肠癌、肝癌、胰腺癌、肺癌、卵巢癌等多瘤种类器官培养工作,已初步建立类器官生物样本库。实验室相关人员目前已成功申报与类器官相关的山东省重大科技专项1项、相关专利3项,发表相关高水平文章2篇。通过建立类器官模型,可评估临床抗肿瘤药物敏感性并指导临床用药;可指导放疗敏感性测定、临床放射剂量调整及放疗副作用预测,实现类器官作为患者“替身”完成临床前期治疗效果精准化和个体化预测,为下一步从分子水平研究恶性肿瘤打下坚实基础。

