医院动态
血管开“隧道” 山东第一医科大学附属省立医院冠脉旋磨术及支架置入术让高龄高危冠心病患者转危为安
近日,山东第一医科大学附属省立医院(山东省立医院)心内科主任苑海涛成功为一位87岁高龄、高危冠心病患者实施了冠脉旋磨术及支架置入术,使其转危为安。目前患者已顺利康复出院。
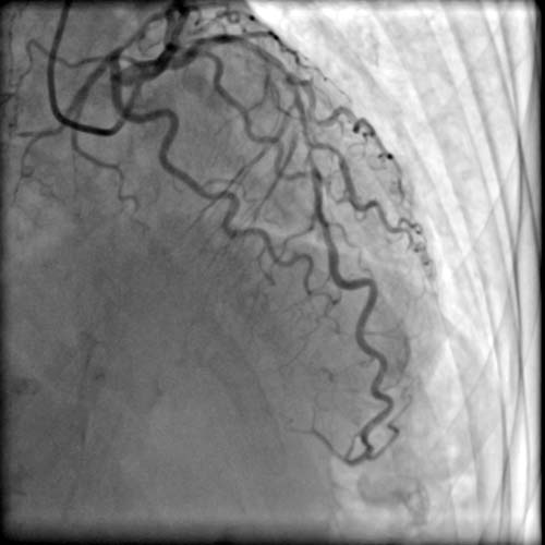
患者杨老先生今年87岁,因反复胸闷胸痛多次在外院住院治疗,外院冠脉造影检查提示“左前降支近段至中段严重钙化,近段狭窄最重处达95%”,手术风险极大。外院予以药物保守治疗后,患者仍时有胸痛发作,服药后症状缓解不明显,痛苦不堪。经当地医院推荐,患者到苑海涛主任处求助。
87岁高龄,身体基础条件差、血管钙化严重,属于高危患者,手术风险极大。若放弃手术,采用药物保守治疗的方法,老人将随时面临着心梗甚至猝死的风险。患者及家属陷入两难境地。
苑海涛主任反复与患者家属沟通,告知病情及各种治疗方案的利弊。最终,患者及家人表示充分信任团队的技术实力,同意接受手术治疗。
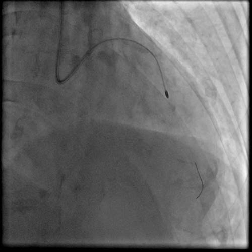
术前,苑海涛主任带领团队成员共同讨论制定手术方案,结合患者冠脉造影结果,拟对前降支钙化病变进行冠脉旋磨术及支架置入术。
患者高龄,冠脉钙化严重,使得手术难度大、风险高,对操作者的技术及经验提出了更高要求。经过苑海涛主任大胆细致的旋磨治疗,前降支病变顺利开通并成功植入支架。术后,患者胸痛等症状明显缓解,顺利出院。



苑海涛主任介绍,钙化病变是所有介入医生都感到头痛的“硬骨头”,对付如石头般坚硬的斑块,常规的球囊、支架扩张技术难以充分扩张病变。而冠状动脉旋磨术则是处理钙化病变的有效手段,通过高速旋转带有金刚石颗粒的旋磨头对斑块进行研磨销蚀,在血管内开“隧道”,以此解决冠脉介入治疗。冠脉内旋磨术操作难度大、风险高,要求介入医生和团队必须有高超的技艺和默契的配合,尤其是年龄超过70岁的患者,脏器功能更差,冠脉旋磨对术者的心理能力和技术水平都是极大的考验。
目前,省立医院心内科已开展此项技术十余年,冠心病亚专科整体技术水平达到了国内先进水平,具有较强的区域辐射力及学术影响力。

