您所在的位置:
首页
>> >> >>
医院动态
【技术创新 走在前列】山东第一医科大学附属省立医院(山东省立医院)心内科率先在省内开展准分子激光斑块消蚀术(ELCA)
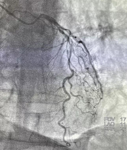
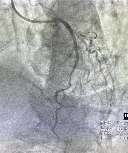
1月8日,山东第一医科大学附属省立医院(山东省立医院)心内科成功为一例严重冠脉钙化病变患者进行了准分子激光斑块消蚀术(ELCA),并顺利植入冠脉支架,腔内影像显示支架膨胀贴壁良好,未见夹层血栓。

术前

术后
随着世界范围内复杂冠状动脉介入治疗经验的增加,ELCA作为一种安全有效的动脉粥样硬化消蚀策略,已成为动脉粥样硬化治疗的重要工具之一,与其他动脉粥样硬化治疗手段相比具有独特的优势。
心内科苑海涛主任介绍,ELCA利用光化学、光热、光机械原理,形成光脉冲、声波、空化气泡对纤维钙化病变、血栓等起到消融与松解修饰作用,使支架更容易输送,利于支架充分扩张,并避免无复流或远端栓塞等问题,使得复杂冠脉病变患者得以成功进行冠脉介入治疗。目前ELCA通常用于支架内再狭窄、支架扩张不良、重度钙化病变、球囊不能通过的病变、慢性完全闭塞、静脉桥血管狭窄的患者。
准分子激光斑块消蚀术(ELCA)的顺利开展,标志着医院复杂冠脉介入治疗的水平迈上一个新台阶,让更多的复杂冠脉患者可以通过介入微创治疗的办法获得冠脉血运重建。

