医院动态
【技术创新 走在前列】患者错过骨折复位好时机 山东第一医科大学附属省立医院妙手置换挽救肩关节功能
近日,山东第一医科大学附属省立医院(山东省立医院)创伤中心医师在麻醉手术科医护人员的配合下,成功为一名左肱骨近端骨折伴肩关节脱位、肱骨头翻转游离患者,实施了“左肩关节半肩置换术”,采用人工假体替代受损的肱骨头,同时进行大小结节固定,重建肩袖功能。此类手术的成功开展,标志着医院在人工肩肘关节置换技术处于国内领先水平,对促进我省肩肘外科专业的发展将起到积极推动作用。
家住莱芜的王女士, 2021年1月不慎摔伤左肩部,受伤后前往当地医院行X线片检查示:左肱骨近端骨折伴肩关节脱位,建议手术。患者不愿意手术,打听到当地有祖传贴膏药治疗骨折的地方,于是自行前往行“贴膏药”等治疗。结果发现,外伤的肩关节疼痛、肿胀不缓解,肩部无法活动,连穿衣吃饭都困难。此后患者辗转省内多家医院寻求治疗,都认为骨折类型复杂,手术难度风险极大,百般无奈之下,慕名来到省立医院就诊。

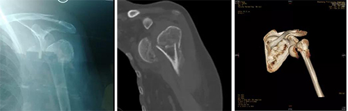
术前影像显示:肱骨近端粉碎骨折,肱骨头脱位、游离
患者来医院时已是伤后2个月,左肩疼痛并伴活动明显受限。主任医师李连欣接诊后认为,患者左肱骨近端骨折为四部分,骨折伴肩关节脱位,肱骨头翻转游离,加上早期治疗没有复位,成为陈旧性,治疗难度很大。经全科人员进行病例讨论分析后,大家认为这名患者的手术难点在于:患者59岁,如果骨折不是陈旧性,还是首选内固定,但是患者肱骨头翻转游离,已经失去血运,2个多月再予以复位,也难以恢复血运重建。该患者肱骨近端骨折为四部分骨折,粉碎并移位明显,不仅复位困难,内固定也难固定牢固,即使手术恢复其解剖关系,未来发生骨折移位肱骨头缺血坏死、创伤性关节炎等并发症的几率极高,最好行人工肩关节置换以恢复肩关节功能。
在麻醉手术科医护人员的配合下,创伤中心医师为患者成功实施了“左肩关节半肩置换术”,采用人工假体替代受损的肱骨头,同时进行大小结节固定,肩袖功能重建。术后,患者在科室专业康复师赵闯等的帮助下进行规范功能锻炼,功能恢复顺利,目前已经可以自主完成吃饭、梳头等日常活动。


术中透视及术后X线

患者术后功能恢复良好
肱骨近端骨折是临床常见老年性骨折,约占全身骨折的5%,其发病因素主要是跌倒损伤及骨质疏松。在年龄大于65岁的老年人中,其发生率位居第三位。一般临床上把骨折时间在三周以内的,称之为新鲜的骨折,而超过三周以上的称之为陈旧性骨折。对于陈旧性骨折患者,骨折断端和骨折周围往往存在大量瘢痕组织和骨痂,从而导致治疗难度大大增加,其预后功能往往不佳。良好的骨折断端复位及断端的稳定是骨折恢复的两大必要因素。对于新鲜骨折,通过手术复位,运用钢板或髓内钉固定可获得满意的效果,对于高度粉碎或者陈旧性骨折,关节置换术就成为了治疗的首选。
医院创伤中心主任医师李连欣作为山东省骨科医师协会肩肘外科专委会主委及山东省中西医结合学会肩肘外科学会主委,在肩肘外科领域一直走在全省乃至全国的前列,同时积极开展肩肘外科新技术新手术。2020年度已实行完成人工肩、肘关节置换30余例,经过随访均康复良好,此类手术的成功开展使我院人工肩肘关节置换技术达到国内领先水平, 也进一步提高了我院创伤中心及骨科的影响力和核心竞争力,对于促进我省肩肘外科专业的发展将起到积极的推动作用。
温馨小Tips:
1.随着我国逐渐老龄化,跌倒及骨质疏松引起的脆性骨折越来越多,在受伤后,应及时到正规医院进行规范化的检查与治疗,不要盲目相信祖传及土法治疗,以免延误病情。
2.骨折有移位的,尤其是伴有关节脱位的,早期复位是第一要素。
3.贴膏药可能有促进骨折愈合作用,但是必须在骨折功能复位、稳定固定的前提下采用。

