医院动态
【技术创新 走在前列】山东第一医科大学附属省立医院成功实施机器人手术系统辅助腹膜后巨大异位嗜铬细胞瘤切除术
近日,山东第一医科大学附属省立医院(山东省立医院)泌尿外科主任医师蒋绍博团队联合麻醉手术科、内分泌科,成功完成机器人手术系统辅助腹膜后巨大异位嗜铬细胞瘤切除术。本次手术将常规达芬奇机器人手术系统引入复杂肾上腺病例手术,丰富了我院肾上腺高血压外科亚专业的技术深度和技术储备能力,进一步提高了我院肾上腺疾病的诊治权威性,巩固了我院在肾上腺高血压外科领域在国内的临床权威地位。
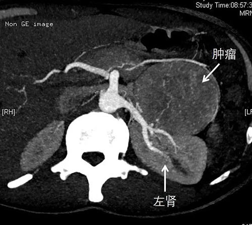
家住高密的马先生,年仅30岁,近半年来无明显原因多次出现突发性头痛、胸闷、伴发作性大汗淋漓及四肢乏力症状,症状发作时患者血压急剧升高,最高曾达250/145mmHg,近1月来发作越发频繁,每日发作1-2次以上。2周前,患者于单位突发头晕,视物模糊、心慌。晕倒15分钟后被同事发现紧急送往当地医院。当地医院检查发现患者腹膜后巨大占位,遂转我院进一步治疗。入院后,经泌尿外科专家检查,患者左侧腹膜后一直径约10cm肿瘤,活性极强,严重压迫周围血管脏器,如同一枚“炸弹”,阵发性高血压危象频繁发作,随时可能危及生命。
蒋绍博团队有着丰富的各类复杂肾上腺肿瘤诊治经验。明确诊断后,蒋绍博带领团队协同内分泌科、麻醉科、ICU等学科积极进行术前准备,最终借助达芬奇机器人手术系统辅助为患者实施了手术,成功取出了这枚埋在腹膜后的“炸弹”。在达芬奇机器人的辅助下,整个手术操作精准、稳定、微创。患者术后恢复顺利,未再有心慌不适发作,目前已康复出院。
相较于传统的腹腔镜手术,达芬奇机器人手术系统的手术操作更加精细。机器人系统三维视觉更加精细立体化,视野可以放大10-15倍,手术精确度明显增加。此外,机械臂自由度高,可以在腹腔内精准完成很多人手腕无法完成的缝合、切割动作,手术操作更加精确。因此,对于复杂手术微创操作成功性更高。

达芬奇机器人手术系统术中外景

蒋绍博主任医师达芬奇机器人手术团队

蒋绍博主任医师在达芬奇机器人控制台
让医生“谈瘤色变”的
嗜铬细胞瘤

患者嗜铬细胞瘤三维示意图

患者嗜铬细胞瘤CT图像
泌尿外科众多疾病中,有一种让医生“谈瘤色变”的特殊肿瘤——嗜铬细胞瘤。为什么说嗜铬细胞瘤危险呢?因为它可能会分泌各种类型的肾上腺髓质激素,这些激素一旦入血,会剧烈收缩血管,造成病人血压的急剧上升,血压最高可达两三百以上。典型的嗜铬细胞瘤病人通常会有突发性血压增高、心慌,伴手脚出冷汗等症状,一般持续几分钟后即可以缓解。这种高血压发作对于病人是非常危险的,有些病人,一次发作就会造成严重的脑出血或心脏衰竭。当然,并不是每一位病人发作都这么典型,很多病人就是因为查体发现的肾上腺区大体积肿瘤,连高血压病史都没有,这种病人也要小心,因为很多嗜铬细胞瘤平时可能在休眠期,但一旦受到刺激发作,后果往往非常严重。以往医生对这个病的发病机理认识不足,准备不充分,病人手术死亡率很高。而腹膜后异位嗜铬细胞瘤位置各异,往往和腹膜后血管脏器关系密切,手术切除难度更大。
近年来,我院肾上腺高血压外科亚专业在蒋绍博主任医师带领下病例数量逐年提高,嗜铬细胞瘤等复杂肾上腺病变数量及手术难度也逐年增高。借助达芬奇机器人手术系统,许多高难度手术更加精细化、微创化。目前,蒋绍博主任医师团队在应用达芬奇机器人手术系统短时间内,已成功开展机器人手术系统辅助根治性肾切除术、肾上腺肿瘤切除术、肾盂成形术、复杂肾部分切除术等手术。

