医院动态
【技术创新 走在前列】脊柱日间微创新术式!山东第一医科大学附属省立医院成功实施全麻下L4/5椎板间入路脊柱内镜下髓核摘除术
近日,山东第一医科大学附属省立医院(山东省立医院)脊柱外二科副主任医师王乃国成功为一例L4/5节段椎间盘突出的患者进行了全麻下L4/5椎板间入路脊柱内镜下髓核摘除术的日间手术。这是省立医院首次开展该手术方式的全麻下日间手术。该手术方式克服了传统的局麻下侧入路椎间孔镜髓核摘除术的诸多技术缺点,将省立医院脊柱微创技术进一步推向更高层次。
本次手术的患者为18岁的年轻女性,腰痛伴左下肢放射痛3个月,疼痛放射至左小腿外侧,久站久坐症状加重,明显影响学习和生活。脊柱外科副主任医师王乃国经过查体和辅助检查,发现患者为L4/5节段椎间盘突出,明显挤压神经根和硬膜囊,L3/4节段椎间盘膨出但尚未对神经根形成实质性压迫。
考虑到患者年纪较轻,为保障患者未来获得更佳的生活质量,脊柱外二科主任袁泽农、副主任医师王乃国充分评估病情,并与患者及患者父母充分沟通后,为患者制定了全麻下L4/5节段椎板间入路脊柱内镜下髓核摘除术的日间手术方案。按照既定的手术方案,副主任医师王乃国在副主任医师徐西强辅助下成功为患者实施了手术。术后当天,患者的下肢放射痛明显缓解,次日即带腰围下地并出院。
近年来,脊柱微创技术飞速发展,对于腰椎间盘突出症的中青年患者,椎间孔镜技术已经成为首选治疗方案。相比于传统的开放手术,椎间孔镜技术既做到了微创,又充分保证了手术效果、加速了患者的术后康复。但是,对于L4/5节段的椎间盘突出,当突出的髓核向头尾两侧游离移位时,传统的侧入路椎间孔镜技术由于固有的技术缺点,往往无法完成对脱出髓核的取出。相比于传统的局麻下侧入路椎间孔镜择期手术,王乃国副主任医师开展的全麻下椎板间入路脊柱内镜日间手术,具有明显的技术优势:
优势一:从“择期手术”到“日间手术”,患者的住院时间从数天缩短到24-48小时,有效降低了患者的住院负担,同时增加了医院的床位使用率和周转率,更加有利于缓解我院床位的紧张程度。
优势二:从“局麻”到“全麻”,消除了患者术中清醒状态下对手术的恐惧和不适,避免了因患者不适影响术者操作导致手术效果不佳的可能性。当然,这对术者的技术水平要求更高,因为局麻手术主要靠患者的感知来帮助避免神经损伤,而全麻手术下,需要依靠术者的经验和技术水平来避免神经损伤。
优势三:从传统的“侧入路椎间孔镜”进阶为“椎板间入路脊柱内镜”,克服了传统侧入路椎间孔镜无法取出向头尾两侧脱出移位髓核,无法有效处理椎管狭窄、侧隐窝狭窄等技术缺点,扩展了脊柱微创的适应症,使更多的患者可以采用脊柱微创技术进行手术。
优势四:传统“侧入路椎间孔镜”需要四、五次甚至十几次透视定位,而“椎板间脊柱内镜”只需要透视二到三次,极大地减少了患者的射线辐射剂量。
在袁泽农主任的带领和支持下,省立医院脊柱外二科紧跟世界先进技术发展潮流,副主任医师王乃国等优秀中青年专家广泛开展椎间孔镜、脊柱内镜、脊柱通道技术、脊柱经皮置钉等各种脊柱微创技术,在脊柱微创技术方面精益求精,不断实现突破性进展。
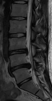
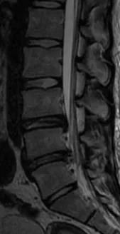
手术过程及影像学结果


术前MRI可见L4/5突出髓核

术中透视定位L4/5内镜位置

术中摘除突出髓核后的镜下表现


内镜下摘除突出髓核后的MRI表现

