医院动态
【技术创新 走在前列】山东第一医科大学附属省立医院东院心外科成功为孕妇实施微创主动脉窦瘤破裂封堵术
近日,山东第一医科大学附属省立医院(山东省立医院)东院心外科为一名孕24周的主动脉窦瘤破裂患者成功实施了超声引导下经皮主动脉窦瘤破裂微创封堵术。该手术不仅成功治疗患者破裂的动脉窦瘤、极大减少了创伤、缩短了住院时间,同时保证了孕妇和胎儿的安全。手术的成功实施,体现了我院在先心病微创封堵领域取得的丰硕成果,达到国内领先水平。
患者为27岁女性,入院前十余天无明显诱因自觉胸闷憋喘不适,伴心悸感,且逐渐加重,严重时甚至无法平卧睡眠。半个月的时间里,患者曾先后就诊于省内多家三甲医院,行心脏彩超均提示“主动脉窦瘤破裂入右房”。这是一类较少见的心脏疾病,常见病因是主动脉窦部的动脉壁中层先天发育薄弱,该部位在后天动脉压力的冲击下,形成动脉瘤样突出,薄弱的瘤壁一旦破裂,则形成主动脉-心脏瘘以及瓣膜关闭不全,多数患者会在短期内出现呼吸困难、疲乏、下肢水肿等心功能不全表现。患者辗转就诊,得到的建议都是限期手术治疗。然而常规开胸手术创伤较大,且心外科术中体外循环心肺转流会导致胎盘低灌注,可能引起胎儿低心排、缺氧甚至胎死宫内等严重后果。
由于顾虑腹中胎儿的安危,患者及其家人犹豫不决。慕名来到东院心外科,当天门诊坐诊的是我院先心病专家王安彪主任医师。在仔细分析了病情后,王安彪主任医师告诉患者,可以考虑在超声引导下施行经皮主动脉窦瘤破裂封堵术,这样既能避免常规体外循环手术对孕妇和腹中胎儿的创伤,也能避免介入治疗X射线对胎儿的不利影响。然而患者主动脉瓣为二叶畸形,破裂的主动脉右窦发育薄弱,破口基底部宽度达1.20cm,微创封堵手术难度大。但考虑到该例患者的特殊性,为了更好地保障母子安全,手术值得尝试。患者及家属最终决定手术治疗。

患者入院后,东院心外科多次组织专家进行分析和讨论,并与产科、超声诊疗科、麻醉手术科等相关科室专家沟通,制定了周密的手术方案:全麻后,首先经右侧股动脉入路,在超声引导下尝试封堵主动脉窦瘤破口;如封堵难以成功,或封堵伞脱落,则迅速调整方案,随即转为正中开胸,在体外循环下修补破口。手术过程中麻醉师全程监测胎心,必要时采取抑制子宫收缩的措施,并随时联系产科术中会诊,尽全力保证患者和胎儿安全。
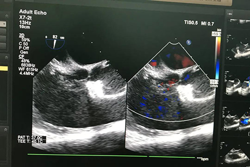
在王安彪主任医师指导下,东院心外科主任医师訾捷操作,李鹏飞主治医师协助开展手术,超声诊疗科郭文斌主任进行超声引导,麻醉手术科王岩主任医师、主治医师孙伟、赵金阳等进行麻醉操作。手术开始前,食道超声再次探查确认患者主动脉右冠窦瘤破裂,二叶式主动脉瓣,破口基底部位于右冠窦偏右侧,大小约0.9cm,窦瘤凸入右心房,其上有两处破裂口。在超声引导下,訾捷主任医师自右侧股动脉穿刺点将导丝逆行送入主动脉窦瘤破口的右心房一侧;继而将12mm的封堵伞装入输送鞘,超声引导下依次精确推送出两个伞盘,经推拉试验确认封堵伞卡位牢固,超声检查无残余分流,对主动脉瓣无影响。手术顺利完成,整个手术过程耗时不到1小时,胎心监测全程无明显波动。


患者术后第2天复查,心脏彩超显示封堵器位置固定,主动脉窦水平无异常分流,主动脉瓣无返流;胎儿心脏超声亦未见明显异常。由于该手术创伤极小(仅右侧腹股沟有一穿刺点),术后除小剂量阿司匹林抗凝外无需其他任何治疗。该患者已于复查当日顺利出院。


