科室动态
【技术创新 走在前列】肿瘤顺着血管从盆腔“攀爬”到心脏 山东第一医科大学附属省立医院多学科联合完成巨大静脉平滑肌瘤切除
近日,山东第一医科大学附属省立医院(山东省立医院)妇科联合血管外科、心脏外科、麻醉科等多学科联合完成一例巨大静脉平滑肌瘤切除手术,切除的肿瘤长达50余厘米,顺着血管从盆腔“攀爬”到心脏。该手术的成功实施,充分体现了医院多学科合作的技术优势,也标志着医院子宫肌瘤合并静脉平滑肌瘤的治疗水平达到国内领先水平。
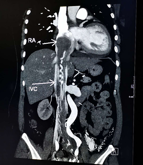
患者崔女士近一年来自觉活动后气短,近期因阴道大量流血前往省立医院妇科急诊就诊。紧急收入院后,妇科主任医师石敏、主治医师万吉鹏为崔女士进行了详细检查,发现崔女士患有盆腔静脉平滑肌瘤,并且已经顺着盆腔血管进入髂静脉、下腔静脉,“攀爬”到了右心房。崔女士同时还患有盆腔血管畸形——子宫动静脉漏,这是导致她阴道大量流血、重度贫血的主要原因。而巨大的静脉血管平滑肌瘤如果得不到及时治疗,心脏功能将受影响,随时有猝死的可能。
静脉平滑肌瘤合并盆腔血管畸形的治疗国内外尚未见报道,治疗充满了挑战。累及心脏的巨大静脉平滑肌瘤切除手术国内其它医院多数采用“两步走”的方法完成,首先由妇科完成子宫及盆腔血管平滑肌瘤的切除,术后三个月再由心脏外科、血管外科手术,切除心脏和下腔静脉平滑肌瘤。但患者需要接受两次手术,增加了患者的创伤,以及等待治疗期间的风险。
省立医院充分发挥综合性医院优势,由妇科主任李长忠、主任医师石敏牵头,血管外科主任吴学君、董典宁主任医师,心脏外科王正军主任医师、张骞副主任医师,麻醉科张红斌主任医师、张文嘉主治医生等专家共同进行会诊。各位专家经过多次协商、充分讨论,为崔女士制定了详细的诊疗策略。先由血管外科完成子宫动脉的介入栓塞治疗,解决崔女士持续阴道大量出血问题,再由妇科、血管外科、心脏外科联合一次性完成静脉平滑肌瘤的切除。
因崔女士的盆腔血管存在严重畸形,血管外科吴学君主任带领主治医师徐磊、高培显完成子宫动脉的介入栓塞治疗过程异常艰难……经过近4个小时的努力,介入手术顺利完成,术后崔女士未再发生阴道流血。
栓塞术后3天,崔女士进入复合手术室。妇科李长忠主任首先带领团队顺利切除崔女士子宫及盆腔静脉的血管平滑肌瘤。随后,血管外科董典宁主任医师、徐磊主治医师等将盆腔大血管的静脉平滑肌瘤仔细游离、切除。最后,心脏外科王正军主任医师、张骞副主任医师等建立体外循环,打开崔女士右心房,顺利将进入心脏的血管平滑肌瘤完整取出。手术耗时10余小时,术中患者血压曾一度下降到60/40mmHg,麻醉科张红斌主任医师、张文嘉主治医师及时进行输血、升压治疗,最终崔女士体内的静脉平滑肌瘤被一次性成功切除。目前,崔女士已经康复,出院后再次复查未见异常。
静脉平滑肌瘤是一种罕见的良性肿瘤,其主要生物学特征为肿瘤在血管内生长,常伴有大血管或心脏受累。该病的临床症状不典型,多合并子宫平滑肌瘤,临床诊断困难,容易误诊,严重威胁患者生命安全。

目前,省立医院妇科静脉平滑肌瘤团队已经成功治愈十余例此类患者,积累了丰富的诊疗经验,所有患者一次性完整切除肌瘤,术后顺利康复。


