医院动态
另辟蹊径 山东第一医科大学附属省立医院消化内科医生巧用胃石碎石器套取食管巨大骨性异物
近日,山东第一医科大学附属省立医院(山东省立医院)消化内科医生在内镜下另辟蹊径,巧用胃石碎石器,成功为一名辗转多地、束手无策的患者套取出食管巨大骨性异物。
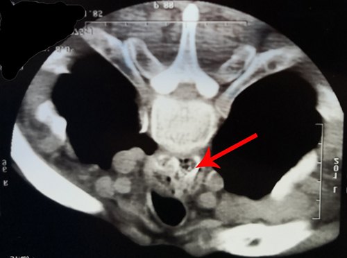
食管异物是医院消化内科常见急症,多以枣核、鱼刺为主。患者男性、65岁,近期患有脑梗塞,误食鸡骨后即感进食困难,在当地县医院行CT提示食管骨性异物。

箭头所示为异物
当地医院尝试胃镜下取出异物,但因异物巨大,反复操作1小时余,始终无法取出,患者痛苦难耐,医生们束手无策。

患者遂转至当地三甲综合医院,再次尝试内镜下异物取出,因异物过大过硬,常规内镜下应用的异物钳或者圈套器无法牵拉住异物,反复操作取出困难,推荐到省立医院就诊,如异物仍无法取出,建议胸外科手术。
因患者有脑梗塞病史,异物嵌顿已3天无法进食水,且左肺存在炎症,体质弱,异物取出刻不容缓。消化内科副主任医师葛剑接诊后,完善相关检查,会同相关专家反复评估病情,征得患者及家属同意后,联系我科消化内镜中心,拟行食管异物取出术。科室消化内镜团队制定了三个手术方案。因患者体质差、反应迟钝,误吸风险大,首先尝试清醒状态下内镜异物取出术;如异物取出困难,则启动第二方案,联系麻醉科、耳鼻喉科,在全麻气管插管监护下,使用肌松剂松弛食管括约肌,尝试消化内镜或硬式喉镜下取出异物;如仍取出困难,启动第三方案,联系胸外科或耳鼻喉科手术治疗,但因异物位于食管上段,手术风险及创伤极大。
内镜手术在消化内科许洪伟主任指导下,由副主任医师李宾操作,刘华琳护士长配合操作。内镜下见异物巨大,嵌顿于食管上端致管腔扩张,异物钳无法夹持异物,更换圈套器后也无法套住异物。

尝试数分钟后,异物取出困难。李宾副主任医师当机立断,在许洪伟主任指导下更换内镜下用的胃石碎石器套取异物。胃石碎石器主要用于粉碎胃内结石,此次并不用于粉碎患者食管内的骨性异物,而是另辟蹊径,应用碎石器前端钢丝套住异物,再绷紧碎石器后端牢牢固定异物,调整牵拉方向,让患者做吞咽动作以松弛食管上段括约肌,成功拖出大小约4.0cm×2.5cm骨性异物。


整个内镜手术过程仅耗时13分钟。因异物过大且嵌顿于食管,碎石器钢丝取出后已弯曲变形,可以推断出普通内镜器械根本无法套取或牵拉住异物。如此大的异物在食管内存留3天,极易出现食管壁缺血、坏死,严重者可能出现食管穿孔。李宾副主任医师再次进入胃镜,发现原食管异物存留的位置,食管黏膜破损、溃疡明显,穿孔不能排除,在许洪伟主任指导下,给予放置胃管,行肠内营养,并协调消化内科病房石秀菊护士长安排患者住院进一步康复治疗。


