科室快讯
双排牙“小怪兽”缘何越来越多?
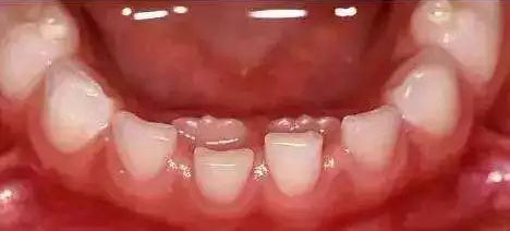
孩子到了六七岁开始换牙,本是再平常不过的事情,可是近年来越来越多的孩子长出了“双排牙”,一张嘴就好像“小怪兽”。

在口腔科,儿童“双排牙”是一个常见的问题,在来拔下前牙的孩子当中,90%都是因为乳牙滞留。乳牙还没脱落,恒牙就已经长出来。
孩子“双排牙” 多是“溺爱”惹的祸
正常情况下,孩子的换牙过程是恒牙随着乳牙牙根吸收脱落而萌出,脱落的乳牙没有牙根。正常的乳恒牙替换也依照一定的规律进行,通常从下前牙开始,四颗下前牙全部替换完毕后,上前牙才会萌出。
但由于现在孩子的饮食环境过于精细,家长常常连水果都削成片给孩子吃,乳前牙使用率低,生理磨耗少,往往造成乳牙牙根吸收不全甚至不吸收,出现新牙萌出乳牙不脱落的“双排牙”现象,称之为乳牙滞留。

乳牙迟早要掉 可以不拔吗?
不少家长认为,孩子的乳牙迟早要掉,即使长出了双排牙也不用管,这样想法并不正确。
“双排牙”不利于牙齿清洁,牙刷无法进入,藏在两排牙齿中的污垢可能引发牙龈炎症,而且还会“鸠占鹊巢”,导致恒牙无法排列在正常位置,使牙齿不整齐。
我们建议,如果乳牙有明显松动可以先观察,等待自行脱落,但如果乳牙不松动或恒牙萌出较多则需要拔除。

要想牙齿整齐 也不能吃得太精细
除了换牙问题,家长们也希望孩子能有一口整齐漂亮的牙齿。
有的家长会问,为什么我家孩子新长出来的牙齿就不平整,是不是没发育好?一般来说,新萌出的牙齿切端呈波浪形或锯齿状,这是因为牙齿在发育时是由几个发育结节相互融合而成,为自然现象。我们看到的成人牙齿切端较平是长期使用磨耗的结果。而且由于孩子脱落的乳牙体积较小,萌出的恒牙较宽,可能会暂时出现牙齿萌出间隙不足,排列不齐的现象。遇到这种情况,家长不用过于担心。孩子牙齿的大小与遗传有关,恒牙长出后大小就不会变化,但颌骨会不断发育变宽,有足够的间隙后,牙齿的位置可能自行调节变整齐。
不过,颌骨的发育需要咀嚼刺激,若想获得整齐的牙列,应该让孩子适当吃一些粗粮,富含纤维或有韧性的食物,多使用牙齿咀嚼,以刺激颌骨生长发育。

