医院动态
【技术创新 走在前列】经气管镜介入治疗——铲除大气道肿瘤的”利剑”
患者为肺鳞癌左肺全切术后局部复发,
呼吸困难同时合并咯血,
单纯内科治疗效果不明显,
一旦出现出血将危及生命。
对于这样棘手的病例,
山东省立医院呼吸与危重症医学科成功行经气管镜介入治疗手术,
犹如利剑出鞘,
为这名大气道肿瘤患者打开了治疗的“生命通道”。
近日,山东省立医院呼吸与危重症医学科成功为一名大气道肿瘤患者完成经气管镜介入治疗。
该患者为肺鳞癌左肺全切术后局部复发,8月发现肺癌复发后接受内科化疗治疗,疗效欠佳。患者逐渐出现呼吸困难同时合并咯血,且咯血量越来越多,应用止血药物无效,慕名来院就诊。
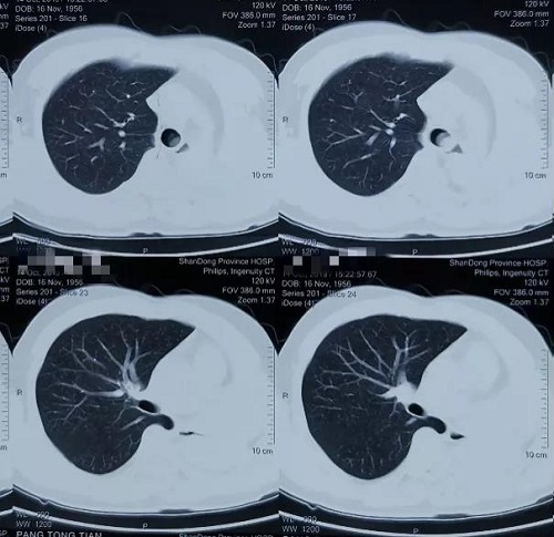
入院时患者胸部CT显示:左肺全切术后残端见新生物生长,且已覆盖隆突,突入气管下段并导致气道中度狭窄。如果不尽快处理,患者呼吸困难会快速进展进而影响生命。


因患者为右侧单肺通气,单纯内科治疗效果不明显,治疗风险较高,一旦出现出血将危及患者生命。经过科室医师讨论,并与家属详细沟通后决定进行气管镜介入治疗。
大气道肿瘤指的是原发于大气道或者肿瘤转移和复发的恶性肿瘤,早期症状不明显而容易被漏诊或误诊,且往往发现后无法行外科手术治疗。如果存在明显的气道狭窄,单纯的内科治疗包括放疗和化疗风险较大,经气管镜介入治疗是此类疾病最直接有效的治疗方法。
做好充分的术前准备后,在呼吸与危重症医学科主任姜淑娟的指导下,副主任医师龙飞、主治医师王永刚为患者进行手术。气管镜下发现,肿瘤表面血供非常丰富,表面渗血明显,且肿瘤已经越过隆突部分阻塞右主支气管和气管下段。这些表现明确解释了患者术前反复咯血和呼吸困难原因。

根据术前制定的手术方案,主刀医师应用高频电刀和氩气刀等热消融技术反复对肿瘤行消融治疗。经过1个多小时治疗,切除大部分肿瘤,局部肿瘤根部应用氩气刀止血和消融治疗。


术后患者临床症状明显缓解。呼吸与危重症医学科专家表示,接下来,患者还需要配合其他有效治疗方法,以进一步控制病情。

