医院动态
【技术创新 走在前列】山东省立医院成功完成院内首例Stingray球囊辅助的ADR术
心脏冠脉慢性完全闭塞病变往往不易察觉,
就像是埋藏在体内的一颗“不定时炸弹”,
慢慢消耗病人的心功能,
给患者的心脏带来危害。
更棘手的是,
行传统介入治疗手术成功率低,
并发症发生率高,
患者健康及预后都不容乐观。
为了让患者少受罪,并提高其生存质量,
山东省立医院东院急救中心的“拆弹专家”们
利用Stingray球囊辅助的ADR术,
成功治疗一例冠状动脉慢性闭塞病变患者,
这在院内尚属首例,
仁心仁术,助患者重获“心”生!
近日,山东省立医院东院急救中心利用Stingray球囊辅助的正向内膜下重回真腔技术(Antegrade Dissection Re-entry, ADR)成功治疗一例冠状动脉慢性闭塞(Chronic Total Occlusion, CTO)病变,目前病人已痊愈出院,手术在安贞医院赵林教授指导下,由东院急救中心副主任、副主任医师胡波,副主任医师季宪飞,主治医师任金林组成的介入团队完成,为我院首例。
冠脉慢性完全闭塞病变(Chronic Total Occlusion,CTO)是指原冠状动脉完全闭塞,经冠脉造影证实TIMI血流为0级,同时其闭塞时间大于或等于3个月的病变。与非闭塞病变相比,CTO病变介入治疗的手术成功率低,并发症发生率高,被称为冠脉介入治疗领域最后的堡垒。冠状动脉CTO病变利用传统技术开通CTO病变平均每台耗时2-3小时,高难度的CTO甚至需要5-6小时。手术时间长,手术成功率低,医生和患者在手术过程中不得不接受很高剂量的辐射,对术者的介入技术水平有着很高的要求。通常而言,只采用传统正向技术开通CTO,成功率很难突破80%,正、逆向技术结合应用,成功率则可突破85%。正向技术最大的障碍是前向导丝进入内膜下,很难通过传统技术重入真腔。以Stingray球囊为基础的正向导丝重回真腔技术问世数年来,临床效果显著。不仅仅使CTO开通的成功率高达90%以上,手术时间和辐射剂量也得到了明显缩减。
本例手术患者张某某,男,65岁,因“发作性胸闷胸痛9天入院”,曾当地行CAG检查示右冠脉CTO病变,遂转来我院治疗。经团队反复讨论后决定首先正向尝试,失败后则采用Stingray球囊辅助的ADR技术开通该右冠脉慢性完全闭塞病变。

图一:术前造影,示患者右冠状动脉近端闭塞,由LAD侧枝吻合向中远段供血

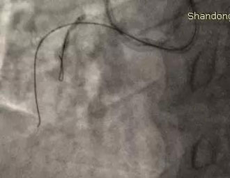
图二:导丝自近端进入内膜下,钝性分离内膜下组织

图三:将Stingray球囊送至着陆区

图四:Stingray球囊辅助下重回真腔

图五:IVUS(冠脉内超声)证实导丝在真腔内

图六:完成支架植入,效果良好
正向内膜下重回真腔技术(Antegrade Dissection Re-entry,ADR)是内膜下寻径及再进入(STAR)基础上的改良,也是近些年备受欧美专家推崇的一项CTO-PCI技术,与传统CTO术式相比,明显提高了开通率,缩短了手术时间,给患者带来了更大的获益。

Stingray球囊辅助ADR示意图

