医院动态
【健康科普】警惕气管异物 宝宝家长要学习
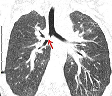
近日,山东省立医院东院耳鼻喉科门诊接诊了一例气管异物患儿。中午时分,一对焦急的夫妇来到耳鼻喉门诊,手中抱着1岁的患儿,着急的同医生说:孩子在家吃炒豆呛着了,老咳嗽。医生详细询问病情、查体听诊后,考虑气管异物。于是值班医生紧急安排肺部CT检查,发现右肺叶有异物堵塞。医生告诉患儿家长,为保证患儿生命安全,需要尽快安排手术取出异物。在东院耳鼻喉科医生的努力下,迅速联系到手术室,紧急安排了急症手术,通过支气管内镜取出了患儿右肺主支气管的异物。经确认,异物为炒熟的豆皮和豆粒。通过我科医生,手术麻醉科医生和护士的齐心合力,以最快的时间抢救了患儿生命,避免了悲剧的发生!

呼吸道异物是耳鼻喉科急症之一,多数见于小儿吸入较大的异物堵于总气管,使通气受阻而发生窒息。症状为剧烈的咳嗽,声音浑浊,嘴唇发紫,甚至失去意识。常见异物的种类有:纽扣、玻璃球、豆类、果核、玩具的零件、硬币、花生米、瓜子、螺丝钉、笔芯和笔帽等。

上述患儿是个幸运儿,能够及时到我院就诊,并取出异物,但是有些患儿却没那么幸运,可能还没赶到医院就已经失去抢救的意义了,造成了无可挽救的悲剧。所以,针对气管异物,一定要保持警惕,最重要的就是预防,家有宝宝的家长,一定要注意做到以下几点:
1. 应教育小孩在吃食物时千万不要嬉耍、吵架、说笑及大喊大叫,尤其在吃瓜子、花生、豆类时。
2. 当小孩在进食时,如果有不听话的现象,家长在此时千万不要打骂他们,以免小孩哭闹时将异物吸入。
3.对于5岁以下小孩家长最好不要给瓜子、花生、豆类、核桃等坚果吃。家庭里面也最好不要放存上述食物。因为幼小儿童的声门较小,咳嗽反射能力差,一旦异物掉入气管不易咳出,并易嵌顿声门处而引起呼吸道窒息,其危险性更大。
4. 教育小孩不要将小钢珠,或圆珠笔帽套等物放入口中含玩,以防不慎误吸入气管内。若发现儿童口中有上述物品,不要打骂恐吓,要耐心,平静地劝诱其放下。
5. 不要在车上给宝宝喂食!当车移动的时候,给予呼吸困难的婴儿帮助会更难。
6. 当孩子吃东西的时候,要注意看着。有可能稍大一些的哥哥和姐妹会提供一些食物给小宝宝吃,要注意观察,避免进食不适合进食的食物。
7. 坚持让孩子坐着吃东西或喝东西。不能让孩子躺着、走路或跑步的时候吃东西。随着孩子开始发展饮食的技能,鼓励他们多花时间去咀嚼食物。

而一旦发生了气管异物,应当如何处理呢?
在将患儿紧急送往有救治条件的医院进行抢救的同时,可试行以下办法:
1、倒立拍背法
对于1岁以内的孩子,将孩子脸朝下放在膝盖上,使婴儿头部低于胸部,并让婴儿头部靠于救护者前臂上,救护者前臂靠自身在大腿、膝盖上,支撑婴儿,单手拖着婴儿的头部、下颌,救护者用手掌用力拍婴儿后背5次,直到异物吐出。
若不见效,把患儿转成仰卧位,背贴在抢救者腿上,然后抢救者用食指和中指用力向上向后挤压患儿上腹部,压后放松,反复进行,以助异物排出,或者婴儿没有窒息感。

2、拍打背法
抢救者站在儿童侧后方,一手臂置于儿童胸部,围扶儿童,另一手掌根在肩胛间区脊柱上给予连续、急促而有力的拍击,以利异物排出。

3、推压腹部法(海姆立克法)
海姆立克法是指利用冲击腹部--膈肌下软组织,被突然的冲击,产生向上的压力,压迫两肺下部,从而驱使肺部残留空气形成一股气流。这股带有冲击性、方向性的长驱直入于气管的气流,就能将堵住气管、喉部的食物硬块等异物驱除,使人获救。
该方法适合较大一点的孩子,可让孩子坐着或站着,抢救者站其身后或跪在患儿身后,用两臂环抱患儿腰部,同时让患儿弯腰、头部前倾;救护者一手握拳,大拇指向内放在患儿的脐与剑突的中点上,用另一手掌压住拳头,有节奏地使劲向上向内推压,以促使横膈抬起,压迫肺底,让肺内产生一股强大的气流,使之从气管内向外冲出,迫使异物随气流直达口腔,将其排出。


