医院动态
我院成功完成一例右肾巨大肿瘤切除手术
我院成功完成一例右肾巨大肿瘤切除手术
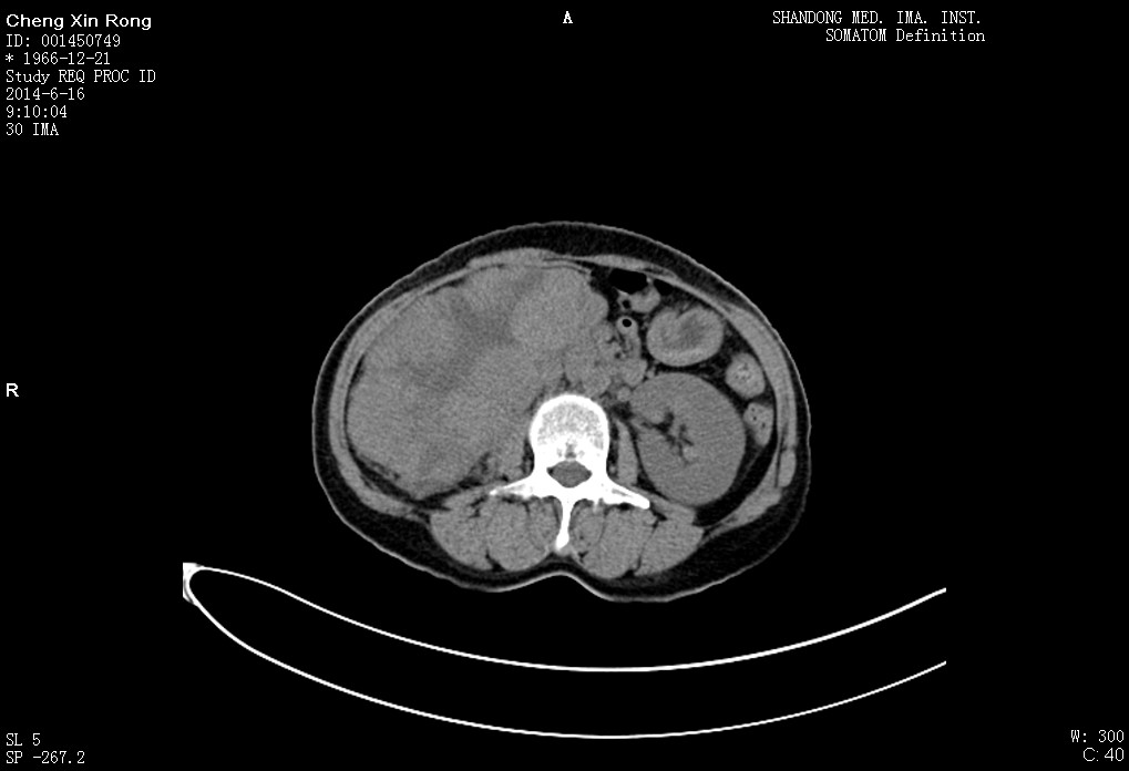
近日我院泌尿外科成功地切除一例罕见的右肾巨大肿瘤患者,患者程女士右肾的巨大肾肿瘤大小约24X15cm,重达1.7Kg,手术顺利,患者术后恢复良好,已于近日出院。

该患者4个月前无明显诱因开始出现发热并右侧腰痛,就诊于当地医院,该医院行MRI检查后认为瘤体巨大,手术风险极高,遂建议其求诊上级医院。我院泌尿外科毕东滨副主任医师接诊该患者后以“右肾占位”收住院。患者入院后行CT检查提示:右肾巨大包块,与下腔静脉关系密切,将下腔静脉推挤向左方。肾静脉被压迫明显,管径被挤压,肿瘤上极与肝脏关系不明。全科组织病案讨论,集思广益,对于手术慎之又慎,反复研究病情,各科室密切协同,精心进行术前准备,并与患者充分沟通交代病情及明确手术方案及风险。在院内肝胆外科、麻醉科、血管外科等专家积极参与下,最终确定了治疗方案。毕东滨主任在术前指出:虽然手术风险大,手术难度高,但是作为一名省医人,要排除万难,发扬革命的救死扶伤精神,尽全力进行救治。
手术于2014-06-19在气管插管全麻下进行,由毕东滨副主任医师主刀,经过7个小时的紧张手术,将患者右侧肾上腺与右肾一并完整切除送检,瘤体称重约1.7Kg,约24X15cm大小,术中切除肾蒂周围淋巴结3枚,一并送检。
术后送病检提示:病变符合Xp11.2易位/TFE3基因融合相关性肾癌,切面积24X14cm,浸润肾被膜及肾上腺区。程女士目前状况良好,已经康复出院,对于这次生死悬于一线的手术,程女士说:“是毕东滨主任高超的技术及对患者的责任心让她赢得了新生。”毕东滨主任表示,手术的成功是医院领导的支持及相关科室积极配合的结果,是省立医院综合实力的体现,再一次表现了省医人“一切为了病人”的服务宗旨,同时也证明泌尿外科在省内的专科优势地位。
泌尿外科 刘帅

