医院动态
我院东院消化内科成功开展超声内镜下胰腺假性囊肿双蘑菇头支架引流术
近日,我院东院消化内科成功完成2例超声内镜引导下胰腺假性囊肿双蘑菇头支架引流手术。

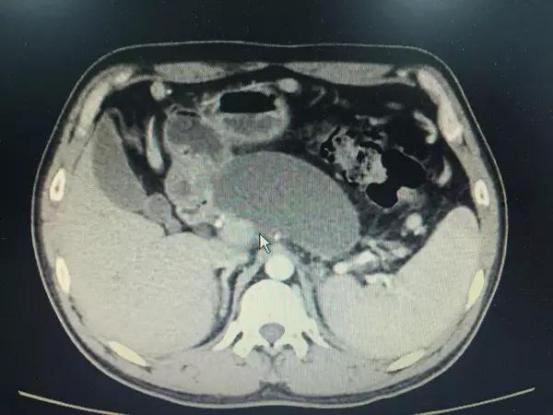
术前CT检查见巨大胰腺假性囊肿形成
急性胰腺炎是消化科常见急重症,系多种病因引起胰酶激活,继以胰腺“自身消化”产生局部炎性,重型可伴有其他器官功能衰竭,死亡率高。胰腺假性囊肿是急性胰腺炎常见的慢性并发症,因胰腺炎症及坏死致液体积聚,形成完整包裹,内含胰腺分泌物、肉芽组织、纤维组织等,多发生于起病4 周后。既往胰腺假性囊肿除少数表浅者可通过B超经腹壁皮肤穿刺引流外,大多数因位于腹膜后或被肠管及胃腔阻挡,经皮穿刺困难,只能依靠外科手术清理,病人创伤大,恢复慢,花费高。

超声内镜下对囊肿进行穿刺

双蘑菇头支架被成功植入到胃壁和囊壁之间
我院东院内镜中心张俊勇副主任自2012年起率先开展超声内镜胰腺假性囊肿穿刺引流术,在超声内镜引导下在胃腔内植入贯穿胃壁和毗邻囊肿壁的覆膜胆道支架,将囊液引流至胃腔最终由肠道自然排出,至今已成功完成数十例。该技术既避免了传统体表穿刺的“引流盲区”,又避免了患者体外长期带管的不便以及外科手术的巨大创伤,有效改善了胰腺假性囊肿的传统治疗方法。但由于囊肿内囊液经引流后囊壁产生弹性回缩以及胃壁蠕动,且支架表面光滑,极少部分患者可能出现支架滑脱进入胃腔、囊腔或腹腔,引起感染或出血,存在需要进行二次治疗的风险。

使用鼻胃镜经支架进入囊腔内对坏死物质进行清理

复查CT见囊肿明显缩小
此次患者郑某、耿某均于半年前发生胰腺炎,病情稳定后逐渐出现腹胀、进食后呕吐等梗阻症状,入院后经CT检查发现巨大胰腺假性囊肿形成。我院东院消化内科以张春清主任、张俊勇副主任医师为首的超声内镜介入团队,带领冯华主治医师、王广川主治医师,结合疾病特点和既往经验,反复研究琢磨,借鉴先心病室间隔缺损“封堵器”的原理,创新采用特制双蘑菇头覆膜支架代替传统胆道支架,通过膨大的双蘑菇头将胃壁和囊壁牢牢卡在一起,从而避免支架滑脱的可能,另外宽大的蘑菇头使术者可以轻松的操作鼻胃镜经支架中间孔道进入囊腔,进而对囊内坏死物质进行冲洗和清理,促进患者恢复。两位患者在植入双蘑菇头支架后,腹胀症状迅速缓解,即可正常饮食,经4周引流,复查CT囊肿基本消失,支架无任何移位,遂在内镜下将支架取出,胃壁创口愈合良好。

囊液充分引流后支架被完好取出
我院东院消化内科在省内最早开展经超声内镜胰腺假性囊肿内引流术,此次双蘑菇头支架的应用亦是省内首次,必将为更多的患者带来福音。

