医院动态
我院血管外科再次独立完成胸腹主动脉瘤切除术
血管外科疾病中胸腹主动脉瘤一直是世界性难题。胸腹主动脉瘤是指胸腹主动脉同时存在瘤样扩张,并累及腹腔干动脉、肠系膜上动脉、双肾动脉开口。随着直径的增大,破裂风险逐步提高。目前治疗该疾病的主要方法是胸腹主动脉瘤切除、人工血管置管术和腔内修复术。该手术对于非高龄、心肺功能尚可的患者为首选方法。但因为其创伤大、出血多、需重建多支内脏动脉,同时面临着大量输血、术后脊髓缺血截瘫、多功能脏器衰竭以及高死亡率等原因,此手术在全国范围内也仅有几家医院能够开展。

近日,在金星教授的精心设计及悉心指导下,张十一教授治疗组在吴学君教授、董典宁副主任医师、张精勇副主任医师协助下,再次成功完成一例胸腹联合切口,胸腹主动脉瘤切除+人工血管置换+内脏动脉重建手术。

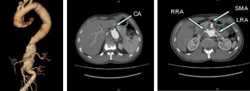
(CA:腹腔干,SMA:肠系膜上动脉,RRA:右肾动脉,LRA:左肾动脉)
该例患者,男,48岁,属II型胸腹主动脉瘤(crawford分型),瘤体最大径达7cm,累及腹腔干动脉、肠系膜上动脉、双肾动脉以及脊髓供血动脉。金星教授带领全科仔细讨论病情,研读患者影像资料,术前术后与麻醉手术科、心外科、重症医学科、输血科等多科室积极沟通交流,在多学科协助下由张十一教授治疗组(包括王默副主任医师、董典宁副主任医师、徐磊、孔祥骞主治医师)主刀,在气管插管全麻下,利用股动脉-股静脉体外循环系统完成胸腹主动脉瘤切除+人工血管置换术。术中采用单肺通气,螺旋体位行胸腹联合切口,经腹膜后入路,打开膈肌,显露胸主动脉及腹主动脉全程,完成动脉瘤切除、人工血管置换及腹腔干动脉、肠系膜上动脉、双肾动脉四支内脏动脉的重建。手术历时10小时。术后,患者在重症监护室的努力和医护人员的精心呵护下,先后闯过了出血、多脏器功能不全、感染等风险关口,最终康复并顺利出院。

截至目前,我院血管外科已独立开展胸腹主动脉瘤切除手术3例,均未出现死亡、截瘫、重要脏器功能衰竭等严重手术并发症,是山东省唯一一家可以开展此类手术的科室团队。此类手术的成功开展标志着我院血管外科的开放手术治疗已达国际先进、国内领先水平。

